| 矯正方法 | マウスピース矯正 | ワイヤー矯正(表側矯正) | ワイヤー矯正(裏側矯正) | セラミック治療 |
|---|---|---|---|---|
| 全体矯正の 費用目安 | 10~100万程度 | 60〜130万円程度 | 100〜170万円程度 | 30〜80万円程度 |
| 全体矯正の 治療期間 | 3カ月~2年程度 | 2年程度 | 3年程度 | 即日~数カ月 |
| 矯正中の痛み | 比較的少ない | ワイヤー調整後に 痛みが出やすい | ワイヤー調整後に 痛みが出やすい | 矯正中は出ないが 神経を抜く場合に 痛みを伴う |
| おすすめの人 | ・今と同じように | ・重度の歯並びの乱れを | ・矯正していることを | ・短期間で歯並びを整えたい |
| メリット | ・自分で着脱可能 | ・適応症例が多い | ・適応症例が多い | ・短期間で歯並びが整う |
| デメリット | ・装着時間の徹底が必要 | ・食事の際に食べ物が | ・費用が高額 | ・健康な歯を |
































前からのイメージ
横からのイメージ

























































マウスピース矯正は
ドクター選びが重要
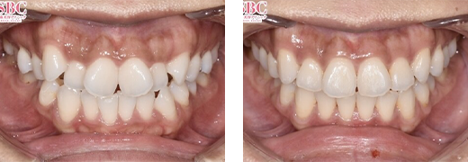
多くの症例は、マウスピース矯正で キレイな歯並びになることが可能です。
ただ、治療効果は「医師の技量」 により変化するため、「治療計画の精度の高さ」が重要です。
また、湘南美容歯科では、初診よりドクターのカウンセリングのお時間も設けています。
口腔内の検査結果を踏まえて、適したメニューをご提案致します。
ご不安な点も、どうぞドクターに直接お伝えください。