仙台院 院長 竹澤 瞬 医師
Instagramで症例をみる 症例写真をみる
3日、5日、10日、12日、17日、19日、24日、26日、31日
柿野医師出勤日
6日、7日
加藤華子医師出勤日
4日、11日、18日、25日
» 歯科仙台院のお得情報はこちらから
湘南美容クリニック 仙台院歯科では、平日はカウンセリング予約なしでも対応が可能です。
まずはお気軽にご相談ください。
※予約状況により待ち時間の発生やご案内が難しい場合もございます。

REASON 01
湘南歯科クリニック千葉院 院長、湘南歯科クリニック新宿院 副院長の実績あり!経験豊富な竹澤医師が在籍するクリニック!
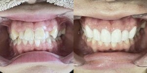
竹澤医師は前歯専門のマウスピース矯正「インビザラインGO」の治療を得意としております!
湘南歯科クリニックは年間症例1000件以上のクリニックやドクターに与えられるインビザラインの称号である「レッドダイヤモンドプロバイダー」の認定を受けており、その経験からお客様に最適なプランをご提案いたします。

REASON 02
痛みを最小限に抑えた治療
治療時に麻酔を使用することはもちろん、麻酔の針の痛みを軽減するための麻酔もご用意しております。
歯科治療の痛みが心配な方もご安心ください!

REASON 03
仙台駅徒歩1分の好アクセス、東北最大規模の美容クリニック併設!
お仕事帰りやお買い物のついでに気軽にご来院いただけます。土日も営業しておりますので、ライフスタイルに合わせて治療を進めることが可能です。
また、美容外科・皮膚科・歯科併設のため美に関するお悩みをトータルプロデュースいたします!

REASON 04
ライフプランや家計に応じたお支払いが可能
当院では分割払いも対応可能です。月々の負担を考慮して支払い方法をお選びいただけます。歯科治療が高くて諦めてしまっている方、ぜひご相談ください。

REASON 05
口腔内スキャナー完備!
今まで苦痛だった型取りから解放!お口の中を小型カメラでデジタル化し、様々な治療で役立てます。
身体に悪影響はありません。ホワイトニングで使用する薬剤は医療機関のみで使用が許可されており、その安全性も保証されています。
取り外し可能です。いつでもご自身で脱着ができるためブラッシングの邪魔にもならず、衛生的にお過ごしいただけます。
歯列矯正の理由は人それぞれです。前歯のがたつきを治して思いっきり笑いたい、接客業で口もとに自信をつけたい、大事なイベント前に歯並びを整えたいなどがあげられます。また、健康に影響を及ぼすほど嚙み合わせが良くない場合にもおすすめです。
湘南美容クリニック仙台院歯科

仙台院院長