名古屋院 院長 伊藤 優 医師
Instagramで症例をみる 症例写真をみる
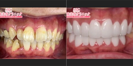
✅ 所要時間は、下記を目安にお越しください^^
初回の方 ▶︎ カウンセリング含め1時間30分程度
2回目以降の方 ▶︎ 1時間程度
※ スタンダードホワイトニングの所要時間です
現:歯科大宮院院長
2026年1月〜当院院長就任!
★ 院長就任記念モニター 募集中 ★
セラミック・マウスピース・ホワイトニング
伊藤先生の各種モニター予約はコチラ
ーーーーーーーーーーーーーーー
伊藤先生がお客様に選ばれる理由
① 顔全体を見据えた“美の設計力”
┗ 口腔外科出身の伊藤先生は、歯だけでなく骨格・筋肉の構造まで熟知。
その豊富な知識をもとに、口元の美しさだけでなく、お顔全体のバランスまで整える総合的なデザインを行います。
“理想の表情”を叶えるための、繊細で緻密な審美治療が特徴です。
② 「期待以上」を叶える徹底したこだわり
┗ カウンセリングからデザイン、施術まで、すべての工程で「想像を超える仕上がり」を追求。
お客様一人ひとりの希望を丁寧にくみ取り、妥協のない精密な治療を行う姿勢が、厚い信頼につながっています。
“満足”ではなく“感動”を生む治療を目指しています。
③ 美しさ × 機能性を両立させる確かな技術
┗ 見た目の美しさはもちろん、噛み合わせや筋肉の動き、骨格との調和までを重視。
長く健康的で自然な笑顔を保てるよう、美と機能が調和する治療設計を徹底しています。
「美しく、しっかり噛める」口元で、自信のある日常を支えます。
ーーーーーーーーーーーーーーー
セラミック・マウスピース・ホワイトニング
伊藤先生の各種モニター予約はコチラ
※出勤日は予告なく変更になる可能性がございます。予めご了承ください。
歯科名古屋院にて4年間院長を勤めた浅井医師が、
今後も難症例対応のため月に数回出勤いたします!
〜インプラント治療は淺井医師にお任せください〜
■ 他院で断られた
■ 長年歯医者に行けていなくて、自分の口腔内が心配
どんなお口もとでも解決策を一緒に考えます
【浅井医師が選ばれる理由】
01 | 口腔外科出身でお口の中の治療に精通している
02 | 歯科医師歴17年のインプラント専門医で、難症例にも対応できる豊富な経験値の持ち主
03 | 現在も毎年自費で海外へ研修に出向くほど勉強家で、常に技術のアップデートを怠らない
\症例がキレイ✨と指名する方が増えています!/
歯科インプラント症例数 SBC全国1位(2022年上半期〜2023年上半期・2024年上半期〜2025年上半期)
歯科セラミック症例数 SBC全国3位(2024年下半期)
セラミックの処置総本数は13,000本以上
WEB予約はコチラ
※浅井医師指名とお伝えください
〜当院で保険診療を行うお客様へ〜
● 歯科初診料の注1に規定する基準(歯初診)
歯科外来診療における院内感染防止対策に十分な体制の整備、十分な機器を有し、研修を受けた常勤の歯科医師及びスタッフが在籍しております。
● 歯科外来診療医療安全対策1(外安全1)
当院には、医療安全対策に関する研修を受けた歯科医師及び医療安全管理者を配置、自動体外式除細動器(AED)を保有し、緊急時の対応及び医療安全について十分な体制を整備しています。
● 歯科外来診療感染対策加算1(外感染1)
歯科の特性に配慮した総合的な歯科医療環境の整備を行っており、院内感染防止対策に係る研修を受けた者を配置しています。診療中の状態急変への対応を円滑に行うため、医科保険医療機関と事前に連帯体制を整えています。
● CAD/CAM冠及びCAD/CAMインレー(歯CAD)
CAD/CAM装置を用いて、金属を使用しない白い冠や詰め物を作製しています。
院内に光学印象機器(口腔内スキャナー)を保有しております。
● 歯科技工士連携加算1・2(歯技工)
患者さまの補綴物製作に際し、歯科技工士(所)との連携体制を確保しています。また、必要に応じて情報通信機器を用いた連携も実施いたします。
● 医療DX推進体制整備加算(医療DX)
医師等が診療を実施する診察室等において、オンライン資格確認等システムにより取得した診療情報等を活用して診療を実施しています。
マイナ保険証を促進し、医療DXを通じて質の高い医療を提供できるよう取り組んでいます。
電子処方箋の発行及び電子カルテ情報共有サービスなどの医療DXにかかる取組を実施しています。
● 医療情報取得加算
マイナンバーカードによるオンライン資格確認システムを導入しています。このシステムにより、患者さまの医療情報(受診歴、服薬情報、特定健診情報その他必要な診療情報)を取得し、より安全で適切な診療を提供できる体制を整えています。
マイナンバーカードの持参をお願いいたします。
● 補綴物の維持管理(補管)
装着した冠(かぶせ物)やブリッジについて、2年間の維持管理を行っています。
● 酸素の購入単価(酸単)
前年の1月から12月までに購入した酸素の対価及び容積の届出を行っています。

REASON 01
怖くない歯医者、決め手は「伊藤先生」ーーー骨格から美しさを創り出す、優しさと確かな技術。
当院が最も大切にしているのは、お客様の理想を形にする「丁寧な対話」と「緻密な設計力」です。
口腔外科出身の伊藤先生は、歯だけでなく骨格や筋肉の動きまでを熟知。
その深い知識をもとに、お口元の美しさだけでなく、お顔全体のバランスを見据えた「美の設計」を行います。
見た目の美しさはもちろん、噛み合わせなどの機能性まで妥協なく両立させる技術は、多くのお客様から厚い信頼をいただいています。
何より、一番の特長は伊藤院長の優しく丁寧なカウンセリングです。
「先生が親身になって悩みを聞いてくれた」「伊藤先生なら任せられると思った」と、院長のお人柄が決め手となって治療を決断されるお客様が多く、大変嬉しく思っています。
単なる“満足”を超え、鏡を見るたびに自信が溢れるような“感動”の仕上がりを追求します。
お口元から始まる人生の彩りを、伊藤院長が叶えます。

REASON 02
マウスピース矯正の取り扱いメニューは8種類!豊富なメニューからぴったりのプランが見付かる
「歯並びは綺麗にしたいけれど、目立たない方がいい」
「費用はなるべく抑えたいけれど、効果はしっかり出したい」など、お客様一人ひとりのご希望やお悩みは異なります。
当院では、お客様の「こうなりたい!」という気持ちに寄り添い、ご予算も含めて最適なプランをご提案いたします。
豊富なメニューの中から、あなたにぴったりの矯正プランがきっと見つかります。

REASON 03
自由診療から保険診療まで取り扱っており、当院だけで治療の完結が可能!
湘南美容歯科名古屋院は、マウスピース矯正、セラミック矯正、ホワイトニング、ティースジュエリー、インプラント治療、入れ歯治療など、年齢や性別を問わず、様々なお口の悩みに対応しています。
自由診療から保険診療まで幅広い治療をご提供できるからこそ、当院だけで治療を完結できるのが強みです。
※お客様のお口の状態によってご案内は異なることがございます。
.jpeg)
REASON 04
在籍スタッフの90%が歯科矯正経験者
実は、当院のスタッフのほとんどが、以前は歯並びや歯の色など口元にコンプレックスを抱えていました。
だからこそ、マウスピース矯正やセラミック治療、ホワイトニングなどのメリットはもちろん、デメリットも経験済みです。
同じ経験を持つからこそ、お客様の不安や悩みに寄り添い、親身になってご相談に乗ることができますので、どうぞお気軽にご相談ください。

REASON 05
【名古屋駅 新幹線口から徒歩3分】土日祝日も診療していて通いやすい
当院は、名古屋駅新幹線口から徒歩3分の場所にございます。
エスカを通ってE7出口から出れば、外を歩くのは1分のみ。雨の日も日差しの強い日も安心です。
土日祝日も19時まで診療しておりますので、お仕事帰りや休日にも無理なく通院いただけます。
19,800円~各施術によって料金が異なります。名古屋院では『プレミアムホワイトニング』『ホームホワイトニング』『スタンダードホワイトニング』の3種類からお選びいただいており、「どの程度白くしたいのか」は一人ひとり異なるため、理想の白さまで必要な回数・ご金額を案内いたします。
歯が動くときに痛みを感じることもありますが、個人差があります。少しでも不安なことがありましたらお気軽にご相談ください。
治療や元々の歯並びなどお口元の状態によって異なります。早く美しい歯を手に入れたい場合は、セラミック矯正で2か月~です。天然歯を削らずに矯正したい場合は、マウスピース矯正で段階的に2ヵ月~2年程かけて矯正します。
湘南美容歯科名古屋院

名古屋院院長