横浜院 院長 加藤 由紀子 医師
Instagramで症例をみる 症例写真をみる
平素より当院をご愛顧いただき、誠にありがとうございます。
このたび、下記の通り営業時間を変更させていただくこととなりました。
----------------------------------------------------------------------
■変更日:2025年9月1日(月)より
■新営業時間:9時〜18時(旧営業時間:10時〜19時)
----------------------------------------------------------------------
ご利用の皆様にはご不便をおかけいたしますが、何卒ご理解賜りますようお願い申し上げます。
今後とも変わらぬご愛顧のほど、よろしくお願い申し上げます。
以下の日は休診日となります。
11月休診日|12日(水)・13日(木)・19日(水)・24日(月)
12月休診日|4日(木)・11日(木)・18日(木)・24日(水)
*華子医師出勤日*
11月出勤日|20日(木)
12月出勤日|9日(火)

REASON 01
【レッドダイヤモンド認定医】
SBC随一の「悩み抽出力」をもつ加藤由紀子医師が在籍!
「全力でお客様の悩みと向き合う」
加藤由紀子院長の姿勢は初回のカウンセリングにすべてが表れてます。
そんな由紀子医師だから、お客様・スタッフからの信頼が厚い!

REASON 02
SBC歯科唯一!
全室 完全個室完備
リラックスできるあなただけの完全プライベート空間で安心安全な治療を提供いたします。

REASON 03
アクセス良好
横浜駅から徒歩5分
お仕事帰りや買い物のついでにも。
思いついた時にお気軽にお立ちよりいただける場所に
クリニックを構えております。
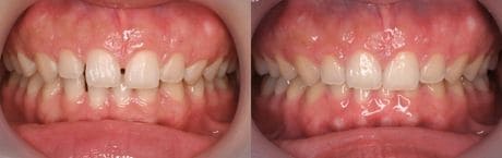
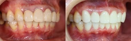
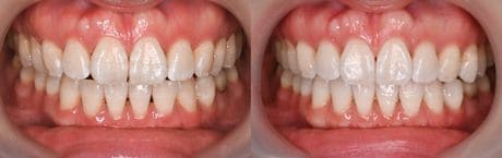
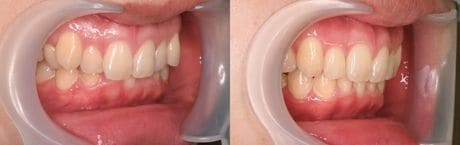
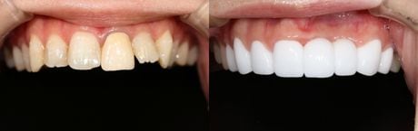
軽度症例にあたる歯並びか、重度症例にあたる歯並びかで適応種類が異なってきます。気になる部分を整えたことで噛めなくなるということがないよう、審美面だけではなく機能面も考慮して適切な種類を提案させていただきます。
セラミックという材質そのものが陶器のような素材のため、歯ぎしりなどが原因で欠けてしまった場合は作り直しが必要になる可能性はございます。
しかし、一般的にセラミックが壊れることよりも、セラミックを支える歯が虫歯や歯周病により再治療が必要になるケースがほとんどですので、定期的なメンテナンスやご自宅での歯磨きなどのケアによりセラミックをより長期に渡りご使用いただけます。
湘南美容歯科横浜院
湘南美容歯科横浜院では、マウスピース矯正やセラミック治療、ホワイトニングなど幅広い審美歯科治療を取り扱っております。
歯についてお悩みがありましたら、ぜひ一度、横浜院にご相談ください。患者様お一人お一人の悩みに寄り添い、ご要望に合わせた治療方法をご提案させていただきます。
まずはお気軽に、お電話もしくはメールにてお問合せください。

横浜院院長