この記事の監修者
-
歯科統括院長前田 純歯科医師 - 歯科医師。2009年3月奥羽大学歯学部歯学科卒業。同大学歯学部附属病院にて勤務のあと、2012年4月から一般歯科クリニックにて勤務。2016年4月から湘南美容歯科大阪心斎橋院にて勤務を開始し、2019年10月より湘南美容歯科統括院長就任。
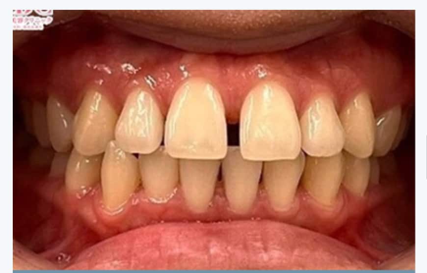
「すきっ歯」とは、前歯に隙間がある状態を指す呼び方です。
歯科ではすきっ歯のことを「空隙歯列(くうげきしれつ)」、前歯の中央に隙間がある場合は「正中離開(せいちゅうりかい)」と呼んでいます。
すきっ歯は審美的に気になるものの、「治療が必要なのか」「埋めるだけで治せるのか」と判断に迷う方も多いと思います。
実際には、すきっ歯ができる原因や隙間の大きさによって、適した治療法は異なります。
この記事では、すきっ歯の原因や放置した場合のリスク、埋めるための治療法などをわかりやすく解説します。前歯の隙間が気になっている方は、治療を考える前の参考としてぜひご覧ください。
すきっ歯ができる主な原因

すきっ歯ができる原因には、大きく分けると生まれつきの影響による先天的な要因と、成長や日常生活のなかで生じる後天的な要因があります。
先天的な要因としては、歯の大きさや歯列全体のバランス、そして上唇小帯(じょうしんしょうたい)の影響が挙げられます。
一方、後天的な要因は、舌の癖や口呼吸などの生活習慣に加え、歯周病によって歯の位置が変化するケースです。
ここでは、すきっ歯ができる原因として、先天的な要因と後天的な要因に分けて詳しく解説します。
歯の大きさ・歯列バランス
すきっ歯は、歯そのものに問題がなくても、歯の大きさと顎の大きさのバランスによって生じることがあります。
例えば、顎に対して歯がやや小さい場合や、歯列全体のバランスが整っていない場合、歯と歯の間が空きやすくなり、前歯の隙間が目立つことがあります。
また、生えてくる歯の本数や並び方によって、歯がきれいに並んでいてもスペースが余ってしまうのも一因です。このような場合、歯が生えるスペースに対してサイズや配置が合っていないことが、すきっ歯になる原因と考えられます。
歯並びそのものが必ずしも遺伝するわけではありませんが、顎の形や口元の骨格といった要因が影響し、結果的にすきっ歯になりやすい状態になることがあります。
上唇小帯(じょうしんしょうたい)の位置
上唇小帯とは、上唇の内側から前歯の中央付近の歯ぐきに向かって伸びている、ヒダ状の組織のことです。
通常は成長とともに位置が変化し、歯並びに大きな影響を与えることはありません。
しかし、上唇小帯が太く短いまま残り、前歯の間まで深く入り込んでいる場合、前歯同士が近づこうとする動きを妨げてしまうことがあります。
このような状態では、前歯の中央に隙間ができやすく、成長後もすきっ歯が残る原因となることがあります。
上唇小帯が原因と考えられる場合、自然に改善することは少なく、状態によっては歯科医師の判断のもとで処置が必要になる可能性が高いです。
癖や生活習慣
すきっ歯は、生まれつきの要因だけでなく、日常の癖や生活習慣が影響していることもあります。
指しゃぶりや舌で前歯を押す癖、口呼吸などが習慣になっていると、歯に余計な力がかかり、正しい位置に収まらなくなってしまいます。
また、このような癖があると、治療によって歯並びを整えても、すきっ歯が再び生じてしまう可能性があります。そのため、すきっ歯の改善を考える際は、治療だけでなく、普段の癖や生活習慣を見直すことも重要となるのです。
歯周病
すきっ歯は、大人になってから歯周病が原因で生じることがあります。
歯周病が進行すると、歯を支えている骨(歯槽骨)が徐々に痩せていき、歯がしっかりと固定できなくなります。
その結果、歯がわずかに動いたり傾いたりして、これまでなかった歯と歯の隙間が目立つようになることも。特に、以前はすきっ歯ではなかったのに、年齢とともに前歯の隙間が気になり始めた方の場合、歯周病が原因となっている可能性があります。
すきっ歯を放置するリスク
すきっ歯が気になっているものの、特に問題はないと放置している方もいますが、歯と歯の隙間がある状態が続くと、口腔内の健康や日常生活に影響が出ることもあります。
ここでは、すきっ歯を放置した場合に起こりやすいリスクをご紹介します。
虫歯や歯周病の悪化
すきっ歯を放置すると、歯と歯の隙間に食べ物が詰まりやすくなります。特に繊維質の食べ物は挟まりやすく、歯ブラシでは十分に取り除けないこともあります。
こうして残った汚れはプラーク(歯垢)となり、歯ぐきに炎症を起こして歯周病の悪化につながります。なかでも、歯周病が原因で歯が動き、すきっ歯になっている場合は注意が必要です。放置すると歯を支える骨がさらに溶け、症状が進行し、最悪の場合は歯が抜けてしまう可能性もあります。
滑舌や発音への影響
すきっ歯があると、特定の発音が不明瞭になることがあります。
前歯の隙間から空気が抜けやすくなるため、「さしすせそ」といったサ行や、「たちつてと」といったタ行を発音する際に、音がはっきりしにくくなるからです。
日常会話では大きな支障を感じなくても、早口になったときや人前で話す場面では、聞き取りにくい話し方になるかもしれません。
全身の不調や顔貌の変化
すきっ歯を放置すると、隙間に向かって隣の歯が倒れ込んだり、少しずつ移動したりすることがあります。こうした歯並びの変化は、噛み合わせのバランスを崩す要因となります。
噛み合わせがズレると、顎の関節に過度な負担がかかり、顔の歪みや顎の違和感、さらには慢性的、頭痛や肩こりといった全身の不調を招くことも少なくありません。
また、前歯で食べ物を噛み切りにくくなることで、無意識に奥歯ばかりを使う癖がつきます。その結果、咀嚼(そしゃく)が不十分になり、胃腸などの消化器官へ負担をかけてしまう可能性もあります。
心理的なストレス
すきっ歯があることで、笑うときに無意識に口元を手で隠してしまったり、写真に写ることを避けるようになったりと、日常の何気ない場面で気を使ってしまう可能性があります。
対面で話す場面や人前に出る機会が多いほど、口元への意識が強くなり、ストレスにつながることもあるでしょう。
すきっ歯は身体的な問題だけでなく、気持ちの面にも影響することがある点を理解しておくことが大切です。
また、すきっ歯を放置するリスクについては以下もご覧ください。
すきっ歯はかわいい?治療が必要なケースや放置するリスク、治療方法を解説>
すきっ歯を埋めるための治療法と期間・費用目安
前歯に隙間があるすきっ歯は、治療したいけれど治療期間や費用が気になる方も多いでしょう。ここでは、すきっ歯を埋める治療法や費用相場を解説します。
ラミネートベニア
ラミネートベニアは、歯の表面をごく薄く削る、もしくはほとんど削らずに、ネイルチップのような薄いセラミックを歯の表面に貼り付けて隙間を埋める治療法です。前歯の見た目を整えるのを目的とした審美的な治療として選ばれています。
治療期間は、型取りと装着の2回の通院で完了するケースが一般的で、期間の目安は個人差がありますが約2週間です。費用は自費診療で1本あたり10~17万程度が目安となります。
【治療期間と費用の目安】
| 治療期間目安 | 型取りと装着の2回の通院で完了するケースが一般的 期間の目安は最短で約2週間 |
|---|---|
| 費用目安 | 10~17万円程度(1本あたり) ※自費診療 |
健康な歯を表面的とはいえ削る必要があることや、強い衝撃で割れる・脱離する可能性がある点には注意が必要です。
<ラミネートベニアが向いている方>
- 前歯のわずかな隙間(正中離開など)が気になる方
- すきっ歯と併せて、歯の色や形も微調整したい方
- できるだけ短期間で見た目を整えたい方
ラミネートベニアは、数年から10年以上もつこともありますが、噛み合わせや生活習慣、メンテナンス状況によっては差が出ることに注意が必要です。また、歯の状態や噛み合わせによっては適さない場合もあるため、治療の可否は歯科での診査をもとに判断してもらいましょう。
セラミック矯正
セラミック治療は、歯を削って土台を作り、その上からセラミックの被せ物(クラウン)を装着することで、歯並びや歯の大きさ・形を整える治療方法です。すきっ歯だけでなく、歯の色や形、全体のバランスまでまとめて調整したい場合にの選択肢としておすすめです。
治療期間の目安は、1本あたり約1週間〜1ヵ月半程度で、通院回数は5〜6回前後が一般的です。治療の途中で仮歯を入れることで、治療開始初日から前歯の隙間を目立ちにくくすることもできます。
費用は自費診療となり、使用する素材(ジルコニアなど)やモニター利用の有無によって金額に幅がありますが、1本あたり5万円~20万円程度です。治療内容によっては仮歯代などが別途かかる場合もあります。
【治療期間と費用の目安】
| 期間目安 | 約1週間〜1ヵ月半(1本あたり) |
|---|---|
| 費用目安 | 5万円~20万円程度(1本あたり) |
※使用する素材や治療法によって費用が異なります。
健康な歯を削る必要がある(場合によっては神経の処置が必要になる)ことや、強い衝撃でセラミックが割れる可能性があるなどの注意点についても把握しておきましょう。
<セラミック治療が向いている方>
- すきっ歯だけでなく、歯並びや歯の色・形にも悩みがある方
- 矯正装置を装着せずに、歯並びを整えたい方
- 結婚式やイベントなど、期限が決まっていて早く整えたい方
治療方法の選択は、仕上がりのイメージやご希望の期間などを踏まえ、歯科医師と相談しながら進めていきます。
マウスピース矯正
すきっ歯の状態によっては、隙間だけを埋める治療ではなく、歯並び全体を整える治療が適している場合があります。その代表的な方法が、マウスピースを用いた矯正治療です。
マウスピース矯正は、透明な装置を段階的に交換しながら歯を少しずつ動かし、前歯の隙間を改善していく治療方法です。歯並びを整えるだけでなく、噛み合わせも含めて調整できます。
治療には、前歯の上下12本を中心におこなう部分矯正と、奥歯を含めて歯列全体を整える全体矯正があります。治療期間は、全体矯正の場合1年〜2年程度、部分矯正の場合は3ヵ月~6ヵ月程度になります。
費用は、全体矯正が60万円〜100万円程度、部分矯正が10万円〜40万円程度が目安です。
【治療期間と費用の目安】
| 全体矯正の場合 | 部分矯正の場合 | |
|---|---|---|
| 期間目安 | 1年〜2年程度 | 3ヵ月~6ヵ月程度 |
| 費用目安 | 60万円〜100万円程度 | 10万円〜40万円程度 |
歯根吸収(歯の根が短くなる)のリスクや治療後の後戻りについても把握してくことが大事です。
<マウスピース矯正が向いている方>
- 健康な歯をできるだけ削らずに治療したい方
- 治療期間がかかっても、歯並びを根本から整えたい方
- 金属アレルギーがあり、ワイヤー矯正に不安がある方
治療内容や期間は、すきっ歯の大きさや歯並び全体の状態によって異なるため、希望に合わせて治療計画を立てていきます。
ワイヤー矯正
ワイヤー矯正は、歯の表面に装置を装着し、ワイヤーの力を使って歯を物理的に動かし、隙間を閉じていく治療方法です。
治療期間の目安は、奥歯を含めて歯列全体を整える全体矯正で1年〜3年程度、前歯のみを動かす部分矯正では3ヵ月〜6ヵ月程度です。歯の動きや治療範囲によって、期間には個人差があります。
費用は矯正方法によって異なりますが、表側矯正で30万円〜100万円程度、裏側矯正(舌側矯正)では100万〜150万円程度が目安です。治療内容によっては、月々の調整料が別途かかる場合もあります。
【治療期間と費用の目安】
| 表側矯正(唇側矯正)の場合 | 裏側矯正(舌側矯正)の場合 | |
|---|---|---|
| 期間目安 | 全体矯正:1年〜3年程度 部分矯正:3ヵ月〜6ヵ月程度 |
|
| 費用目安 | 30万円〜100万円程度 | 100万円〜150万円程度 |
治療後の後戻りや装置周辺に汚れが溜まりやすく、きちんとした管理をしないと虫歯・歯周病リスクが高まることを把握しておきましょう。
<ワイヤー矯正が向いている方>
- マウスピースの着け外しなど、自己管理に不安がある方
- すきっ歯の程度が大きく、噛み合わせのズレも気になる方
- 時間をかけてでも、しっかり歯を動かしたい方
ワイヤー矯正は適応範囲が広く、さまざまな歯並びの悩みに対応しやすい治療方法といえます。
ダイレクトボンディング
ダイレクトボンディングは、歯科用のプラスチック素材(レジン)を歯の側面に直接盛り足し、歯と歯の隙間を埋める治療方法です。歯を大きく削らずにおこなえるケースが多く、比較的シンプルな処置ができます。治療は1回の来院で完了することが多く、状態によっては即日の処置も可能ですが、事前の診査が必要です。
ただし、セラミック素材と比べると、経年による変色が起こりやすいことや、強度の面で欠けやすい傾向があるとされています。
また、表面に汚れが付着しやすいため、定期的なメンテナンスが必要になる場合があります。
費用は他の治療と比べて抑えやすく、1本あたり3万〜6万円程度が目安です。
【治療期間と費用の目安】
| 期間目安 | 1日(数時間程度) |
|---|---|
| 費用目安 | 3万〜6万円程度(1本あたり) |
<ダイレクトボンディングが向いている方>
- とにかく費用を抑えて治療したい方
- とりあえず一時的にすきっ歯を改善したい方
すきっ歯の大きさや、仕上がりにどこまでこだわるかによって、適した治療法は異なります。ダイレクトボンディングが合うかどうかは、歯の状態を確認したうえで検討することが大切です。
後悔しないために知っておきたい注意点
すきっ歯の治療にはいくつかの方法があり、それぞれ特徴や向き不向きがあります。後悔しないためにも、治療を選ぶ前に知っておきたいポイントを確認しておきましょう。
安さだけで選ぶと後悔しやすい
すきっ歯の治療では、初期費用の安さだけで方法を選ぶと、後悔につながることがあります。
一時的に費用を抑えられても、素材の特性によっては変色や欠けが起こりやすく、再治療が必要になることで、通院回数が増えたり、最終的な総費用が想定より高くなったりすることも考えられます。
治療方法を選ぶ際は、目先の費用だけでなく、仕上がりの持続性や将来のメンテナンスまで含めて検討することが大切です。
埋める治療が向いていない場合もある
すきっ歯の状態によっては、隙間を埋める治療だけでは十分な改善につながらないこともあります。
例えば、前歯の隙間が大きいケースや歯列全体のバランス、噛み合わせに問題がある場合は、見た目だけを整えても根本的な解決にならないこともあるでしょう。
このような場合、隙間を無理に埋めることで、歯の形やバランスに違和感が出たり、噛み合わせに負担がかかったりする可能性も考えられます。
すきっ歯の治療では、隙間の大きさだけでなく、歯並び全体や噛み合わせの状態を踏まえて治療方法を選ぶことが重要です。
見た目と将来性のバランスが大切
すきっ歯の治療には、見た目を短期間で整えることを重視した方法と、歯並びや噛み合わせを含めて長期的な安定を目指す方法があります。それぞれ目的が異なるため、「今どこまで改善したいのか」「将来まで含めて何を優先したいのか」を整理することが大切です。
仕上がりを重視したいのか、歯の健康や噛み合わせまで含めて整えたいのかによって、選ぶべき治療法は変わります。自分の希望に合った治療を選ぶためにも、歯科で相談しながら方向性を決めていくことがポイントです。
すきっ歯に関するよくある質問
最後に、すきっ歯に関してよくある悩みをまとめました。
すきっ歯は自分で治せますか?
すきっ歯を自己流で治すことはおすすめできません。市販の器具やインターネット上の方法を試した場合、次のようなリスクが考えられます。
- 歯に不自然な力がかかり、歯がぐらつく・傾くおそれがある
- 歯ぐきや歯の表面を傷つけてしまう可能性がある
- 一時的に隙間が変わっても、すぐにもとに戻ってしまうことがある
- 噛み合わせのバランスが崩れることがある
すきっ歯の原因や状態は人によって異なるため、見た目だけで判断はせず、歯科で相談したうえで適した方法を選ぶことが大切です。
治療の痛みはありますか?
すきっ歯の治療で、必ず強い痛みが出るわけではありません。痛みの感じ方は、選択する治療法や処置内容によって異なります。
例えば、レジンを用いた治療やラミネートベニア法は、歯への負担が少ない処置であり、一般的に痛みは生じにくい治療です。
また、マウスピース矯正やワイヤー矯正では、歯が動く過程で違和感や軽い痛みを感じることがありますが、徐々に慣れていくことが一般的です。
痛みが心配な場合は、事前に歯科医師へ相談することで、不安を軽減しながら治療を進められます。
歯列矯正の痛みについては以下もご覧ください。
歯列矯正の痛みってどれくらい?痛みの種類や期間、対処法をご紹介>
すきっ歯を埋める治療は保険がききますか?
すきっ歯を埋める治療は、見た目の改善(審美目的)のみを目的とした治療となるため、原則として保険適用外(自費診療)となります。
ただし、以下のように「機能の回復」が必要と診断されるケースでは、保険が適用される場合があります。
保険が適用されるケースの一例)
- 虫歯の治療と同時に隙間を埋める場合
- ぶつけたり転んだりして歯が欠け、隙間ができた場合
- 以前の詰め物が取れてしまい、再度埋める必要がある場合
すきっ歯の状態や原因によって、最適な治療法と費用の仕組みは異なります。「自分の場合はどちらになるのか」を知るためにも、まずは診察を受け、事前の見積もりを確認しておくことが大切です。
保険適用の条件については以下もご覧ください。
歯列矯正は保険適用できる?条件や医療機関の探し方を解説>
まとめ
すきっ歯は、原因や隙間の大きさによって、適した治療法が異なります。ダイレクトボンディングのように短期間・低コストで見た目を整える方法もあれば、ラミネートベニアやセラミック治療、マウスピース矯正など、歯並びや将来性まで考えた治療が向いているケースもあります。
大切なのは、「とにかく埋める」ことではなく、費用や治療期間を含め自分が何を優先したいのかを整理したうえで治療を選ぶことです。
湘南美容歯科では、すきっ歯の状態やお悩みを丁寧にヒアリングし、マウスピース矯正・セラミック治療など複数の選択肢のなかから、一人ひとりに合った治療プランをご提案しています。すきっ歯が気になる方は、一度お気軽にご相談ください。
※本記事の内容は公開時点の情報であり、実際のメニュー名や金額とは異なる場合がございます。最新の情報については当院までお問い合わせください。
