この記事の監修者
-
歯科統括院長前田 純歯科医師 - 歯科医師。2009年3月奥羽大学歯学部歯学科卒業。同大学歯学部附属病院にて勤務のあと、2012年4月から一般歯科クリニックにて勤務。2016年4月から湘南美容歯科大阪心斎橋院にて勤務を開始し、2019年10月より湘南美容歯科統括院長就任。
歯並びは第一印象を左右する要素のひとつです。では、歯並びがいい人にはどのような特徴があるのでしょうか?
本記事では、歯並びがいい人の特徴に加え、歯並びがよいことでどのようなメリットがあるのか、歯並びが悪くなってしまう原因から歯並びを改善する方法までを解説します。
目次
歯並びがいい人の特徴や与える印象
歯並びがいい人の特徴には、大きく分けて3つあります。
歯が左右対称に並んでいる
前歯の中心から歯が左右対称に並んでいると、全体のバランスがよく見え、口元が整った印象になります。 また、歯の高さや上下の噛み合わせが左右対称になっていることも大切です。
歯がまっすぐに生えている
歯並びがいい人の特徴としてまっすぐに歯が生えているといった特徴があります。複数本の歯が斜めに生えていると、見た目がよくないだけでなく、嚙み合わせが悪い状態(不正咬合)などを引き起こします。
具体的に、歯がまっすぐ生えていないことで「歯並びが悪い」という印象を与えやすい代表的な状態には、以下の2つがあります。
- 出っ歯(上顎前突)
- 過蓋咬合(ディープバイト)
上あごの前歯が前方に突出している状態です。前方へ歯が突き出ていることで、口元の突出感が強くなる原因となります。

奥歯で噛み合わせたときに、上の前歯が下の前歯を深く覆い隠してしまう状態です。正面から見たときに下の歯がほとんど見えないため、歯並びのバランスが悪い印象を与えます。
湘南美容歯科の過蓋咬合(ディープバイト)について詳しくはこちら >
歯が重なっていない・隙間がない
歯の重なりがない、または歯と歯の間に適切な間隔が保たれており、上下の噛み合わせが整っていることは、歯並びがいい人の重要な特徴です。
反対に、歯と歯が重なって生えていたり、逆に隙間があったりすると、歯並びが悪く見える原因となります。
代表的なお悩みと、それぞれの改善症例・詳細をご紹介します。
- 八重歯(叢生・乱ぐい歯)
- すきっ歯(空隙歯列)
- 開咬(オープンバイト)
歯が凸凹に並んだり、重なり合って生えている状態です。見た目の印象だけでなく、歯磨きがしづらいため口内トラブルの原因にもなります。

湘南美容歯科の八重歯(叢生・乱ぐい歯)の矯正について詳しくはこちら >
歯と歯の間に隙間がある状態で、特に前歯の隙間は目立ちやすく、笑顔の印象を左右します。

湘南美容歯科のすきっ歯(空隙歯列)の矯正について詳しくはこちら >
奥歯を噛み合わせても上下の前歯が当たらない状態です。前歯で食べ物を噛み切るのが難しく、発音に影響が出る場合もあります。
湘南美容歯科の開咬(オープンバイト)の矯正について詳しくはこちら >
歯並びが悪い人の特徴については、以下の記事もご覧ください。
歯並びが悪い人の特徴は?与える印象や原因・治療方法についても解説>
歯並びがいい人のメリット
歯並びがいいと、次のようなメリットがあります。
第一印象がよくなる
初対面の人の歯並びを見た際、「清潔感があるな」と好印象を抱いたり、逆に「だらしないな」とネガティブに感じたことはありませんか?
実際、歯並びに関するある調査では、同性・異性問わず、歯が他人の第一印象を左右すると考えている人が多いとの結果が出ています。
虫歯や歯周病など口内トラブルを予防できる
歯並びが悪いと歯磨きがしづらく、虫歯や歯周病、歯肉炎などの口内トラブルが生じやすくなります。
症状を放置すると歯の寿命が短くなってしまうため、健康な歯を維持するうえでも歯並びは重要です。
自分に自信が持てる
歯並びが整っていると、口元を見せて笑えたり、滑舌の改善も期待ができるため、自分に自信が持てるようになります。
歯並びを整えるための治療を経て「気になっていた歯並びがよくなって生活が楽しくなった」「周りから歯並びを褒められてうれしい」と思う方も多いようです。
発音が明瞭になる
歯並びが整っていると、言葉が漏れずに明瞭な発音ができるようになります。 これはプライベートだけでなく、ビジネスシーンでのプレゼンテーションや大切な商談の場面でも、相手に信頼感を与える重要な要素となります。
自分は歯並びがいい人?5つのチェックポイント
ご自身の歯並びが理想的な状態かどうか、自宅で簡単に確認できる5つのチェックポイントをご紹介します。
両方の奥歯が均等に噛み合う
奥歯をカチカチと音が鳴る程度に噛み合わせてみてください。左右両方の奥歯が同じタイミングで、均等な力で噛み合っていれば良好な状態です。
噛んだとき、上の前歯4本に下歯が当たらないか
奥歯を軽く噛み合わせたとき、上の前歯4本に対して、下の前歯が強く当たっていないかを確認します。 理想的な噛み合わせでは、上の前歯が下の前歯をわずかに覆う形になります。
下顎を横にずらすと犬歯がぶつかる
奥歯を噛み合わせた状態で、下あごを左右に歯ぎしりするようにずらしてみましょう。その際、上下の犬歯同士が引っかかり、奥の奥歯同士が当たらないのが理想的な「犬歯誘導」という状態です。
上下の犬歯が噛み合っている
奥歯を軽く噛み合わせたとき、上の犬歯が下の犬歯と、その隣の歯(奥側)の間に位置しているかを確認します。 また、上の犬歯が下の犬歯より少し前に出ているのが理想的です。
大きく口を開けたとき顎に違和感や痛みがない
「あ」を発音する時のように大きく口を開けた際、あごの関節に違和感やパキッという音、痛みなどがなければ、顎関節と歯並びのバランスが取れているといえます。
歯並びが悪くなってしまう原因
そもそも歯並びが悪くなる原因にはどういったものがあるのでしょうか。
遺伝的要因
顎や歯の大きさ・形、骨格などは遺伝し、先天的に歯並びが悪くなる場合があります。ただし、遺伝による歯並びへの影響は数%程度と言われており、後天的要因が強いと考えられています。
顎の大きさと歯のバランスの悪さ
あごの大きさに対して歯の数やサイズが合っていないと、歯が重なり合って生える原因となります。 近年では柔らかい食べ物を好む傾向があり、あごが十分に発達せず、歯がきれいに並ぶスペースが不足して歯並びが悪くなりやすいといわれています。
歯並びを悪くする習慣や癖
指しゃぶりや舌癖、口呼吸、歯ぎしり、頬杖などが習慣化していると、将来的に歯並びが悪化する可能性があります。
例えば、指しゃぶりの癖がある場合、指を吸うことで口内の圧力が高まるため、歯に力が伝わり歯並びが悪くなってしまうのです。
虫歯や歯周病
歯並びが悪化する後天的な要因として、虫歯や歯周病も挙げられます。
虫歯があると、痛みや違和感のある部分を避けて不自然な噛み方をするようになります。このような噛み癖が習慣化すると、ほかの歯に過度な負担がかかり、歯が移動して歯並びを乱す原因になります。早期に適切な治療を受け、噛み合わせのバランスを保つことが大切です。
湘南美容歯科のセラミックによる虫歯治療について詳しくはこちら >
また、歯周病は、進行すると歯を支える土台である「歯槽骨(しそうこつ)」を溶かして弱くします。土台が不安定になると、歯が正常な位置からずれたり、抜けやすくなったりしてしまいます。日頃の歯磨きや定期検診による予防に加え、早期治療によって歯を支える土台を健康に保つことが重要です。
歯並びがいい人になるための改善方法
ここからは、歯並びを改善する方法をご紹介します。
歯並びに悪い癖、習慣を治す
前述のとおり、歯並びが悪くなる原因として、日頃の習慣や癖があります。そのため、歯並びが悪くなる習慣や癖は、早期に治す必要があります。
「なかなか癖が治らない」「自分で改善するのは難しい」と感じる方は、今のご自身の歯の状態を確認するためにも、まずは歯科クリニックへ相談をしてみましょう。
歯列矯正を受ける
癖の改善は、あくまで歯並びの悪化を防止する補完的治療です。根本的に歯並びを改善するには歯列矯正が必要になります。
ワイヤー矯正
ワイヤー矯正では、ブラケットと呼ばれる金属製の矯正装置を用います。重度の不正咬合でも治療でき、矯正装置の耐久性が高い点がメリットです。
一方、ブラケットの見た目が目立つ、他の方法に比べて痛みが強い、取り外せないため口内ケアが難しくなるなどのデメリットもあります。
※当院ではワイヤー矯正のご提供は終了いたしました。
セラミック治療
セラミック矯正では、歯並びを改善したい歯やその周辺にセラミッククラウンを被せることで、歯並びを修正します。
通常の歯列矯正は約1〜2年の治療期間がかかりますが、セラミック矯正は数ヵ月で完了するのが特徴です。
矯正器具の装着も必要ありませんが、被せ物をするために歯の表面を削る必要があります。
当院では、お客さまのご要望に合わせて以下の3つの治療法を中心に提供しています。
- セラミック矯正
- ラミネートべニア
- セラミックインレー
歯並びを整えたい歯を削り、高品質なセラミックを被せることで、隙間だけでなく歯の形や色、角度まで一気に整える方法です。
歯の表面をわずかに(0.3mm〜0.5mm程度)削り、セラミック製の薄い板を貼り付ける方法です。ご自身の歯への負担を最小限に抑えつつ、隙間や変色を改善できます。
比較的小さな隙間や虫歯の跡を、セラミックの詰め物で修復する方法です。天然歯に近い質感で、目立たず自然な仕上がりになります。
マウスピース矯正
透明な矯正装置(アライナー)で歯並びを改善する矯正方法です。ワイヤーと比較して目立ちにくく、自分で簡単に取り外せます。
注意点として、1日20〜22時間以上の装着が必要なこと、歯並びや歯の状態によっては対応が難しい場合もあります。
湘南美容歯科の症例をご紹介
最後に、セラミック矯正とマウスピース矯正の症例をご紹介します。
セラミック治療の症例
ダイヤモンドオーダーセラミック20本を施した症例です。歯を削ってセラミック製の被せ物を被せることで、短期間で歯並びの矯正、歯の色や形、質感の改善をおこないました。

湘南美容歯科のセラミック矯正について詳しくはこちら >
湘南美容歯科のダイヤモンドオーダーセラミックについて詳しくはこちら >
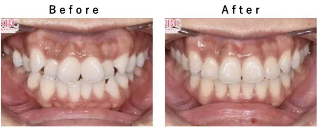
マウスピース矯正の症例
ガタガタした歯並びや八重歯を治療した症例です。患者さまの歯の形に合わせてオーダーメイドのマウスピースを製作し、徐々に歯を移動させることで歯並びを改善しました。


まとめ
歯並びがいい人には、歯が左右対称に並んでいる、歯がまっすぐに生えているなどの特徴があり、これらを満たすことで口元が整った印象を与えます。きれいな歯並びだと、第一印象がよくなるだけでなく、口内トラブルを予防できたり、自分に自信が持てるのがメリットです。
歯並びが悪化する原因の多くは、悪い癖や虫歯などと考えられています。歯列矯正によって歯並びの改善が見込めますが、メリット・デメリットや治療期間、費用はそれぞれ異なるため、まずは医師への相談をおすすめします。
湘南美容歯科では、マウスピース矯正、セラミック矯正ともに多数の症例実績があります。患者さまの歯の状態やお悩み、ご希望に合わせて、最適な治療方法をご提案します。
歯並びに不安のある方は、ぜひ無料カウンセリングをご検討ください。
湘南美容歯科の無料カウンセリングご予約はこちら>
※本記事の内容は公開時点の情報であり、実際のメニュー名や金額とは異なる場合がございます。最新の情報については当院までお問い合わせください。
