この記事の監修者
-
歯科統括院長前田 純歯科医師 - 歯科医師。2009年3月奥羽大学歯学部歯学科卒業。同大学歯学部附属病院にて勤務のあと、2012年4月から一般歯科クリニックにて勤務。2016年4月から湘南美容歯科大阪心斎橋院にて勤務を開始し、2019年10月より湘南美容歯科統括院長就任。
「前歯の隙間が気になるけれど、矯正はお金がかかりそう」「自分で少しずつ押せば治るのではないか?」そんな風に考えたことはありませんか? 最近では、手軽に情報が手に入るSNSや動画サイトで「自力ですきっ歯を治した」という体験談が流れてくることもあります。しかし、こうした方法は歯に大きなダメージを与え、最悪の場合は歯を失うことにもなりかねない危険な行為です。
本記事では、すきっ歯が起こる原因や放置することで生じるリスク、そして自力矯正が危険な理由をわかりやすく解説します。また、歯科で受けられる安全で確実な治療法についても紹介します。すきっ歯を本気で治したいと考えている方は、ぜひ参考にしてください。
すきっ歯の主な原因
すきっ歯は、歯科用語では「空隙歯列弓(くうげきしれつきゅう)」と呼ばれます。これは、歯の間に隙間がある状態の歯列を指し、医学的には「不正咬合(ふせいこうごう)」、つまり噛み合わせが正しくない状態の一種として分類されます。
特に上の前歯の真ん中に隙間があるものは「正中離開(せいちゅうりかい)」と呼ばれ、審美的な悩みだけでなく、機能的な問題を抱えているケースが少なくありません。
なぜ空隙歯列弓になってしまうのか、その原因は大きく分けて2つあります。
先天的な要因
遺伝や成長過程の身体的特徴が原因で、歯並びに隙間ができるケースです。
歯と顎のサイズの不一致
歯に対して顎が大きすぎる、あるいは顎に対して歯のサイズが小さすぎると、スペースが余ってしまい、歯が散らばって生えてしまいます。
歯の本数が足りない
生まれつき永久歯の本数が足りない場合、空いたスペースを埋めるように隣の歯が移動し、全体的に隙間が生じます。
過剰歯(余分な歯)
本来必要のない余分な歯が歯茎の中に埋まっていることがあります。これが正常な歯の成長を妨げ、隙間の原因になります。
上唇小帯(じょうしんしょうたい)の異常
上唇の裏側から歯茎に伸びる筋が、前歯の間を通り越して裏側まで深く入り込んでいる場合、それが物理的な壁となり、前歯が閉じるのを妨げます。
後天的な要因
日々の生活習慣や、お口の中の健康状態によって徐々に隙間が広がるケースです。
舌で歯を押す癖
無意識に舌を前歯の裏側に押し当てる癖があると、継続的な圧力によって前歯が扇状に広がり、隙間ができます。
歯周病による歯の移動
歯周病で歯を支える土台(歯槽骨)が溶けると、歯が不安定になります。噛む力に耐えきれず歯が動き出し、隙間が広がる「フレアアウト」という現象が起こります。
抜けた歯の放置
奥歯を失ったまま放置すると、全体の噛み合わせのバランスが崩れ、前歯に過度な負担がかかって隙間が生じることがあります。
口呼吸
口呼吸が習慣化すると、常に口が開くことで頬や唇からの圧力が弱まり、逆に舌が歯を内側から押し出す力が勝ってしまうため、歯列が外側に広がりやすくなります。
すきっ歯は自力で治せる?
結論からいうと、すきっ歯を安全かつ確実に自力で治すことはできません。「少しずつ力を加えれば、歯は動くはず」という考えは間違いです。
矯正治療は、レントゲンやCT、歯型模型を用いた精密な検査に基づき、0.1mm単位の移動距離と、数グラム単位の適切な荷重を計算しておこなわれます。
素人が自力で指や道具を使ってかける圧力は、あまりにも強すぎるか、あるいは方向がデタラメです。無理に力を加えると、歯の根っこが吸収されて短くなったり、歯の神経が死んで黒ずんだり、最悪の場合は歯を支える骨が破壊されて歯が抜け落ちてしまいます。
ネット上の「自力で治った」という体験談は、一時的な変化に過ぎないか、将来的なリスクを無視した無責任な情報といえます。
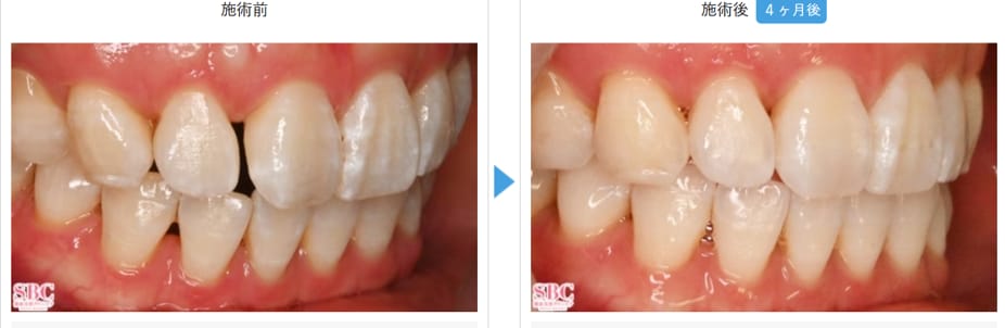
すきっ歯を治す治療法
歯科医院ではすきっ歯を安全かつ短期間で改善できる治療法が複数用意されています。
ワイヤー矯正
歯の表面にブラケットという装置を装着し、ワイヤーの力を利用して歯を移動させる方法です。隙間を閉じるだけでなく、噛み合わせのズレや全体の歯並びを整えることが可能です。ただし、装置を常に装着している必要があるため見た目に影響が出やすく、治療完了までに1~3年の期間を要します。
※湘南美容歯科ではワイヤー矯正のご提供を終了いたしました。
マウスピース矯正
透明で取り外しが可能な装置を使用するマウスピース矯正は、周囲に気づかれずに治療を進めたい方に選ばれています。段階に合わせてマウスピースを交換することで少しずつ歯を移動させる仕組みです。極薄く透明なため至近距離でも気づかれにくく、ワイヤーを使用しないため粘膜を傷つける心配もありません。
また、食事や歯磨きの際は自分で着脱ができるため、装置の周りに汚れが溜まる心配がなく、普段通りのお手入れで虫歯や歯周病、口臭を予防できる点も大きなメリットです。金属を一切使用しないためアレルギーの心配もありません。さらに、マウスピースを薬剤のトレイとして活用すれば、歯列矯正をしながら同時にホワイトニングをおこなうことも可能です。
湘南美容歯科では、単に隙間を埋めるだけでなく、お顔全体のバランスを考慮した審美性の高い仕上がりを追求しています。最新の3Dスキャナーを用いて、歯の傾きや大きさ、笑った時に見える歯茎のラインを緻密にシミュレーション。
すきっ歯を改善することで口元の突出感を抑え、横顔のライン(Eライン)も整えるなど、細部にわたって理想の美しさを追求したオーダーメイドの矯正を提供しています。

セラミック治療
歯を削り、その上にセラミック製の被せ物を被せることで隙間を解消します。歯を動かす期間が必要ないため、最短数回で完了するのが大きな魅力です。単に隙間を埋めるだけでなく、歯の形や白さを自在に整えることができるため、審美性を最優先する方に選ばれています。
また、歯の表面を薄く整え、セラミック製の薄いシェルを貼り付ける「ラミネートベニア(NEOエナメル)」という選択肢もあります。歯を削る量を抑えながら、前歯のすき間や形・色味を整えたい場合に適した治療法です。
いずれも金属を使用しないメタルフリー素材のため、時間が経っても歯茎が黒ずむ心配がなく、天然歯のような透明感と美しさを長期的に維持できる点も大きな特徴です。
湘南美容歯科のセラミック治療は、25万本を超える豊富な症例実績に基づいた確かな技術が特徴です。一人ひとりのご希望に合わせて、コストパフォーマンスに優れた「ダイヤモンドクラウン」から、歯科技工士が立ち会い完全オーダーメイドで仕上げる最上級プラン、さらにラミネートベニア(NEOエナメル)まで、幅広いメニューを用意しています。
単なる見た目だけでなく、歯の長期的な健康を見据えた「デザインと機能性の両立」を追求できるのは、審美歯科のスペシャリストが集う当院ならではの強みです。

湘南美容歯科のセラミック治療について詳しくはこちら>
湘南美容歯科のラミネートべニアについて詳しくはこちら>
湘南美容歯科のNEOエナメルについて詳しくはこちら>
湘南美容歯科のすきっ歯の矯正について詳しくはこちら>
すきっ歯を放置するとどうなる?
すきっ歯は見た目の問題だけでなく、放置することでさまざまな機能的トラブルを引き起こす可能性があります。
滑舌が悪くなる
歯の間に隙間があると、話すときにそこから空気が漏れやすく、特に「サ行」や「タ行」が発音しにくくなることがあります。相手が言葉を聞き取りにくくなったり、英語の発音がしづらくなったりといった影響が出ます。
虫歯や歯周病の原因になる
歯の隙間には食べかすが詰まりやすく、通常の歯ブラシだけでは汚れを完全に除去するのが困難です。隙間にプラーク(歯垢)が蓄積し続けることで、隣接している歯が虫歯になったり、歯茎が炎症を起こして歯周病へと進行したりするリスクが高まります。
歯や顎に負担がかかる
すきっ歯は噛み合わせに影響を与えることがあり、噛むときの力が特定の歯に偏りやすくなります。これにより、歯の摩耗や歯が欠ける、顎関節への負担などが起こりやすくなり、慢性的な顎の痛みにつながるケースもあります。
咀嚼機能が低下する
咀嚼機能が低下する 前歯に隙間があると食べ物をしっかりと噛み切ることが難しくなります。咀嚼(そしゃく)機能が低下すると、食べ物が十分に細かくならないまま胃腸へ送られることになります。その結果、消化に時間がかかって内臓に負担をかけたり、栄養の吸収効率が落ちてしまったりするなど、日々の健康管理においてマイナスの影響を及ぼす恐れがあります。
コンプレックスにつながる
口元の見た目は第一印象に大きく影響します。隙間を気にして思い切り笑えなくなったり、話すときに無意識に口元を隠したりするようになると、精神的なストレスが蓄積します。これが自信を失わせ、人間関係や社会生活において消極的になってしまうなど、深いコンプレックスにつながるケースも少なくありません。
危険!やってはいけない「自力矯正」
ネットやSNSでは「すきっ歯を自分で治せる」といった情報が出回っていますが、これらの方法は歯に深刻なダメージを与える危険な行為です。歯並びは歯の大きさや顎の骨、噛み合わせ、筋肉のクセなど複雑な要因が関わっているため、専門知識なしに自己流で動かすことは絶対に避けるべきです。
市販のマウスピースを自己流で使用
通販サイト等の既製品は、歯科医師が設計する医療用装置とは構造がまったく異なります。本来の矯正は、精密検査に基づき0.1mm単位で歯の動きを計算しますが、自己判断で市販品を使用すると、歯の根に過度な負担がかかったり、噛み合わせが致命的に狂ったりする恐れがあります。その結果、食事が困難になるなどの深刻なトラブルが多発しています。
ネットで話題?輪ゴムで歯を引っ張る
歯の間に輪ゴムをかけると、ゴムが歯肉の溝を伝って歯茎の奥深くへ潜り込んでしまうことがあります。入り込んだゴムは自力では取り出せず、そのまま歯の根っこを締め付け、周囲の骨を溶かしてしまいます。その結果、健康な歯が根こそぎ抜け落ちてしまうという、取り返しのつかない事態を招きます。
すきっ歯を矯正したい方は湘南美容歯科へ
すきっ歯の治療をおこなうことで、見た目の美しさはもちろん、噛み合わせの安定や発音の改善など、多くのメリットが得られます。湘南美容歯科では、お一人おひとりの症例やご希望に合わせて、最適な治療方法をご提案しています。
経験豊富なドクターが歯並びの状態を丁寧に確認し、あなたに合った治療プランを作成するため、歯科矯正が初めての方でも安心してご相談いただけます。
まずは無料カウンセリングでプロの意見を聞いてみませんか?「短期間で整えたい」「自然な美しさにこだわりたい」「周囲に気づかれず治療したい」など、どのようなお悩みでもお気軽にご相談ください。
※本記事の内容は公開時点の情報であり、実際のメニュー名や金額とは異なる場合がございます。最新の情報については当院までお問い合わせください。
