この記事の監修者
-
歯科統括院長前田 純歯科医師 - 歯科医師。2009年3月奥羽大学歯学部歯学科卒業。同大学歯学部附属病院にて勤務のあと、2012年4月から一般歯科クリニックにて勤務。2016年4月から湘南美容歯科大阪心斎橋院にて勤務を開始し、2019年10月より湘南美容歯科統括院長就任。
「笑ったときに上の歯しか見えない」「下の歯が上の歯に隠れてまったく見えない」といったお悩みはありませんか?それは過蓋咬合(かがいこうごう)の可能性があります。
過蓋咬合は、単に見た目の問題だけでなく、将来的に歯を失うリスクや顎の健康にも深く関わっています。しかし、適切な治療をおこなえば、コンプレックスを解消し、芸能人のような整った美しい口元を手に入れることは十分に可能です。
本記事では、過蓋咬合の原因や放置するリスク、そして憧れの口元を実現するための治療法についてわかりやすく解説します。
目次
過蓋咬合(かがいこうごう)とは?
過蓋咬合とは、上下の前歯が噛み合ったときに、上の前歯が下の前歯を通常より深く覆ってしまう噛み合わせの状態を指し、専門用語では「ディープバイト」とも呼ばれます。
多少の重なりは誰にでもありますが、過蓋咬合では下の前歯がほとんど見えなくなるほど深く噛み込むことがあり、その結果、歯に強い負担がかかったり、口元が窮屈な印象に見えたりすることがあります。
また、深い噛み合わせが続くことで、歯の摩耗や欠け、顎関節への負担、発音のしづらさなどが現れることもあり、見た目と機能の両面で影響が出やすい噛み合わせといえます。
湘南美容歯科の過蓋咬合(ディープバイト)矯正について詳しくはこちら>
過蓋咬合の原因は?
なぜ過蓋咬合になってしまうのでしょうか?その原因は大きく分けて「遺伝的な骨格」「歯の生え方」「日々の習慣」の3つに分類されます。
顎の大きさや位置など骨格の問題
最も多い原因の一つが、遺伝による骨格のアンバランスです。上顎が大きい、下顎が小さい、下顎が後方に位置しているといった状態が挙げられます。これらの骨格バランスの乱れにより、自然と噛み合わせが深くなり過蓋咬合が生じることがあります。
歯そのものの位置や向きが原因
歯骨格に問題がなくても、歯の生え方によって過蓋咬合になることがあります。例えば、上の前歯が伸びすぎるように生えていたり、下の前歯が内側に倒れ込んでいたりすると、上下の歯が適切に噛み合わず、どこまでも深く沈み込んでしまいます。また、奥歯の背が低い場合も、お口全体の「噛み合わせの高さ」を維持できなくなり、結果として前歯の重なりが深くなってしまいます。
歯ぎしりなどのクセによる影響
後天的な生活習慣も過蓋咬合を進行させる大きな要因です。特に、歯ぎしりや食いしばりは、強い力で奥歯を摩耗させ、噛み合わせの高さを低くしてしまいます。奥歯の支えを失うと、前歯がより深く沈み込むようになり、過蓋咬合が悪化します。また、下唇を噛む癖や虫歯で歯を失ったまま放置することも、歯の移動を招き、バランスを崩すきっかけとなります。日々の何気ない習慣が、知らず知らずのうちに噛み合わせを深くしている場合があります。
過蓋咬合を放置するとどうなる?
「痛みや自覚症状がないから」と過蓋咬合をそのままにしておくと、見た目だけでなく歯と顎への負担が蓄積し、さまざまなトラブルを引き起こします。
前歯や奥歯が破損しやすくなる
過蓋咬合の状態では、噛むたびに前歯へ過剰な負担がかかり続けます。本来、上下の歯はバランスよく力を分散しますが、噛み合わせが深いと特定の歯に圧力が集中するため、健康な歯であっても耐えきれずに折れたり、被せ物(クラウン)が外れたりする原因になります。
歯が摩耗・欠けが進みやすい
過蓋咬合は、咀嚼時に歯同士が強く擦れるため、通常より摩耗が早い傾向があります。特に下の前歯が上の裏側に接触し続けるとエナメル質が削れ、先端がギザギザになったり歯全体が短くなったりします。摩耗で歯の高さが低くなると、噛み合わせがより深まるという悪循環を招くおそれもあります。
顎関節症のリスクが高まる
噛み合わせが深いと下顎が後ろへ押し込まれるような形になり、顎の関節を圧迫します。これにより「口を開けるときに音がする」「顎が痛む」といった顎関節症の症状が出やすくなります。特に成長期から放置すると、顎の正常な発育を妨げ、顔の左右差につながることもあります。
歯周病・知覚過敏が起こりやすい
下の前歯が上の歯肉を直接刺激し続けるため、慢性的な炎症が起こりやすく、歯周病を悪化させる一因となります。また、歯の摩耗によって神経に近い部分が露出することで、冷たいものがしみるなどの知覚過敏に悩まされるケースも多く見られます。
咀嚼や発音がしにくくなる
下顎の可動域が制限されるため、食べ物を効率よく噛み砕くことが難しくなります。また、上下の歯の重なりが原因で舌の動きが制限され、サ行やタ行などの発音が不明瞭になるなど、日常生活でのコミュニケーションに支障をきたす場合も少なくありません。
口元・顔貌への影響がでることも
過蓋咬合は顔の下半分を短く見せるため、口元がすぼまって老けたような印象を与えやすくなります。また、下顎の動きが制限されることで口元のバランスが崩れたり、顎の先(オトガイ)に不自然な緊張が生じ、梅干しのようなシワができたりする場合もあります。笑った時に下の歯がほとんど見えず、口元がのっぺりとした印象になりやすいのも過蓋咬合特有の影響です。
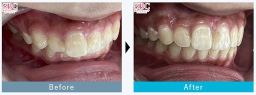
過蓋咬合でも芸能人のような歯並びを目指すための治療方法
過蓋咬合を改善すれば、機能面だけでなく、フェイスラインが整い、芸能人のような垢抜けた印象を手に入れることができます。主な治療法は、セラミック治療とマウスピース矯正の2つです。
過蓋咬合を改善し、芸能人のような整った口元を手に入れるための代表的な選択肢には、セラミック治療とマウスピース矯正があります。それぞれに異なるメリットがあるため、ご自身の希望する期間や仕上がりに合わせて選ぶことが大切です。
セラミック治療
セラミック治療は、ご自身の歯を整えた後に高品質なセラミックを被せ、通常1〜4ヵ月程度という短期間で理想の歯並びと色を手に入れる方法です。数年を要する一般的な矯正治療に比べ、撮影やイベントを控えたモデル・インフルエンサーの方々にとっても効率的な選択肢となります。
歯の形や白さをミリ単位で自由にデザインできるため、摩耗による欠けや変色も同時に解消し、24時間どの角度から見ても完璧なカメラ映えを実現できるのが大きな魅力です。
多くの芸能人がセラミック治療を選ぶ最大の理由は、その圧倒的な白さと透明感にあります。天然歯では限界があるトーンまで白さを引き上げることができ、顔色をパッと明るく見せる効果があります。
また、「仕事の合間に短期間で治したい」という多忙なスケジュールにも対応できる時短のメリットが、第一線で活躍するプロフェッショナルたちから強く支持されています。

湘南美容歯科のセラミック治療では、見た目の美しさはもちろんのこと、過蓋咬合特有の深い噛み合わせを考慮した精密な設計にこだわっています。一人ひとりの顔立ちに合わせてミリ単位で歯の長さや角度を調整し、顎への負担を軽減しながら芸能人のような理想のスマイルをオーダーメイドで作り上げます。
また、高品質なセラミックをリーズナブルに提供できる体制を整えているほか、万が一の際の保証制度も充実しているため、納得感を持って治療に臨んでいただけます。
マウスピース矯正
マウスピース矯正は、透明な装置を段階的に交換しながら自分の歯を動かし、噛み合わせを整える方法です。目立たず周囲に気付かれにくいことが最大の特徴で、表舞台に立つ機会が多い方や接客業の方でもストレスなく治療を続けられます。
マウスピースが上下の歯の接触を和らげつつ、奥歯を立ち上げたり前歯の位置を調整したりすることで、深い噛み合わせを根本から改善します。これにより、口元の突き出し感が減り、横顔の美しさが際立ちます。
最近の著名人の間では、あえて作り込みすぎないナチュラルな美しさがトレンドです。この方法は表情筋の動きを邪魔しないため、自然で美しい口角の上がり方が手に入ると評判です。
撮影中も装着したままでOKな透明感と、誰にも気付かれることなく理想の歯並びへ整えられる安心感が、美意識の高いプロフェッショナルたちに選ばれています。

湘南美容歯科では噛み合わせの深さや顎のバランスを考慮した治療計画を作成し、必要に応じて補助的な処置も組み合わせながら、仕上がりの精度を高めています。
また、治療中の変化を確認できるシミュレーションも導入しており、治療前から仕上がりのイメージを持てる点も多くの方に支持されている理由のひとつです。
芸能人のような歯並びを叶えたい方は湘南美容歯科へ
過蓋咬合は、見た目の印象だけでなく、将来的な歯の健康にも関わる大切な問題です。一人で悩まず、まずは専門家に相談することから始めてみませんか。
湘南美容歯科では、高度な技術を持つドクターが、一人ひとりの理想やライフスタイルに寄り添った最適な治療プランを提案します。セラミック治療やマウスピース矯正といった選択肢から、美容歯科ならではのデザイン力を活かし、芸能人のような整った歯並びと、健やかで美しい口元をトータルで追求します。
無料カウンセリングでは、実際の治療シミュレーションを確認しながら、不安な点や理想のイメージをじっくりご相談いただけます。自信を持って笑える毎日を手に入れるために、最初の一歩を一緒に踏み出しましょう。
※本記事の内容は公開時点の情報であり、実際のメニュー名や金額とは異なる場合がございます。最新の情報については当院までお問い合わせください。
