この記事の監修者
-
歯科統括院長前田 純歯科医師 - 歯科医師。2009年3月奥羽大学歯学部歯学科卒業。同大学歯学部附属病院にて勤務のあと、2012年4月から一般歯科クリニックにて勤務。2016年4月から湘南美容歯科大阪心斎橋院にて勤務を開始し、2019年10月より湘南美容歯科統括院長就任。
歯の色は第一印象や清潔感に大きく左右するため、「歯を白くしたい」と考える方は多いのではないでしょうか。費用面も踏まえて、まずはセルフでのホワイトニングを検討する方も少なくありません。各ホワイトニング方法のメリット・デメリットや注意点を含めて検討する必要があります。
本記事では、セルフでできる歯を白くする方法とそれぞれのメリット・デメリットを紹介し、医療機関の効果的なホワイトニング施術との違いも解説します。
目次
セルフで歯を白くする方法と特徴
「まずはセルフで歯を白くしたい」という方であれば、市販のアイテムやセルフサービスを活用することで、安価で手軽に歯の白さの改善が期待できます。
ただし、方法によって効果や特徴が異なるため、それぞれのメリット・デメリットを理解しておくことが大切です。ここでは、自分でできる手軽なホワイトニングの方法をまとめました。
| 費用目安 | メリット | デメリット | |
|---|---|---|---|
| ホワイトニングサロン | 1回あたり: 3,000〜5,000円程度 |
・費用が比較的安い ・サロンで気軽に利用できる ・自分の都合に合わせて通える |
・使用できる薬剤は弱く効果が限定的 ・医師の指導やカウンセリングがない ・仕上がりに個人差がある |
| ホワイトニング用歯磨き粉 | 1商品あたり: 500〜3,000円程度 |
・毎日の歯磨きに取り入れられる ・低価格で継続しやすい ・表面の着色汚れに効果的 |
・効果が出るまで時間がかかる ・研磨剤入りは歯を傷つける可能性がある |
| ペン型のホワイトニング | 1本あたり: 1,000〜3,000円程度 |
・ピンポイントでケアできる ・持ち運びしやすく外出先でも使える ・ドラッグストアなどで入手可能 |
・広範囲のケアには不向き ・効果が一時的で持続しにくい ・均一に塗るのが難しい |
| ホワイトニングシート | 1商品あたり: 500〜3,000円程度 |
・貼るだけで簡単 ・市販で入手しやすい |
・市販品はムラになりやすい ・歯並びによって密着しにくい |
| 歯の消しゴム | 1商品あたり: 500〜3,000円程度 |
・部分的な汚れを即効で落とせる ・使い方が簡単で便利 |
・歯や歯茎を傷つけるリスクがある ・色戻りしやすい |
| 歯のマニキュア | 1ボトルあたり: 1,000〜5,000円程度 |
・塗るだけで即効性がある ・イベント前などに短時間で白さを演出できる |
・1〜2か月で剥がれてしまう ・日常的なケアには不向き |
ホワイトニングサロン
ホームホワイトニングは、サロンなどに出向いて自分自身で専用の設備や道具を使って施術するセルフサービスのことです。
クリニックのホワイトニングに比べると費用が抑えられ、手軽に歯の汚れを落とすことができます。都合のよい時間に通える自由度もメリットです。
一方で、ホワイトニングに使用できる薬剤は限られており、大きなホワイトニング効果は期待できない場合があります。また、すべて自分自身でおこなう必要があるため、医師のカウンセリングや指導などがない点もデメリットとなります。
ホワイトニング用歯磨き粉
ドラッグストアなどで簡単に購入できるホワイトニング用歯磨き粉は、もっとも身近で始めやすい歯を白くする方法といえます。
毎日の歯磨きに取り入れるだけで負担が少なく、価格も手頃な点が魅力です。表面的な着色汚れを落とすことができます。
ただし、即効性はなく、効果を実感するにはある程度の継続が必要になります。また、研磨剤を含む製品を使用すると歯の表面を傷つけてしまう可能性もあります。かえって着色汚れや黄ばみの要因になるため、歯磨き粉選びには注意が必要です。
ペン型のホワイトニング
ホワイトニングペンと呼ばれる薬剤を直接歯に塗布するタイプです。歯磨き後にジェルを塗布して5〜15分放置し、その後ブラッシングして汚れを落とします。
外出先でも手軽に使える方法で、部分的な着色汚れをピンポイントでケアできます。ドラッグストアなどで気軽に手に入る点もメリットです。
ただし、効果は一時的で持続しにくく、均一に塗るのが難しいのが難点です。また1本ずつ塗布しなければならないため、広範囲のホワイトニングは手間がかかります。
ホワイトニングシート
歯の表面に貼り付けて汚れを吸着するタイプのホワイトニング方法です。シートを15〜30分ほど装着し、その後ブラッシングで汚れを除去します。
歯磨き後のケアとして取り入れやすく、使い方もシンプルなため誰でも手軽に利用でき、表面の着色汚れを落とすのに適しています。
ただし、市販のホワイトニングシートは歯にムラが出やすく、十分な効果を感じにくいこともあります。一方、医療機関で提供されるホワイトニングシートは歯を白くする薬剤が含まれており、黄ばみの改善や歯の白さをより実感できます。
歯の消しゴム
歯の消しゴムは、専用の素材で歯の表面をこすり、着色を落とす方法です。ブロック状のタイプやスティックタイプがあります。
比較的簡単に汚れを落とすことができ、部分的な汚れ対策としては便利です。ただし、頻繁に使用すると歯や歯茎を傷つけるリスクがあります。色戻りがしやすい点もデメリットです。
歯のマニキュア
歯のマニキュアは、歯磨き後に専用の液を歯に塗布して白く見せる方法です。爪に塗るマニキュアのように、塗布したあと乾かして完了です。
塗るだけで即効性があり、写真撮影や結婚式など大切なイベントの直前に、短時間で歯の見た目を整えられる点がメリットです。
しかし、1〜2ヵ月程度で剥がれてしまい、効果は長続きしません。日常的なケアには不向きで、一時的に白さを演出したい場面で活用されることが多いといえます。
歯が黄ばむ主な原因と歯の構造
歯の黄ばみは、表面と内部の黄ばみの2つがあります。
歯の外側にはエナメル質という半透明の層があり、内側には象牙質(ぞうげしつ)と呼ばれる組織があります。象牙質は黄色みを帯びており、これが透けることで黄ばんで見えることがあります。そのため、そもそも天然の歯は真っ白ではなく、やや黄色みがあるのが一般的です。
その他、表面的な汚れが付着することで歯が黄ばむこともあります。ここでは、歯が黄ばむ表面と内部の原因をそれぞれ解説します。
加齢
歯の外側を覆うエナメル質は、加齢にともなって徐々に希薄化していきます。その結果、内部にある象牙質の黄色みが透けて見えやすくなり、歯全体が黄ばんだ印象になります。さらに象牙質自体が濃くなることで黄ばみが増すこともあります。
また、年齢を重ねるうちに、噛む動作、歯磨き、歯ぎしり、食いしばりなどの影響で、少しずつエナメル質が薄くなることも一因です。
ステイン
色の濃い食べ物や飲み物によって、歯の表面にステインが付着すると、歯の黄ばみにつながります。コーヒー、紅茶、赤ワイン、カレーなどは特にステインが付着しやすい食品です。
しかし、ステインは歯磨きで落とすことが可能なため、食後にしっかり歯磨きをすることで黄ばみは防ぎやすいといえます。
磨き残し
毎日の歯磨きが不十分だと、歯垢が固まって歯石となり、食べ物や飲み物の色素が浸透して黄ばみの原因になります。
特に歯と歯の間や歯茎の境目などは磨き残しが多く、黄ばみや口臭の原因につながります。正しいブラッシングや定期的なクリーニングを怠ると、黄ばみは進行しやすくなります。
タバコ
喫煙による黄ばみは特に顕著で、落ちにくい黄ばみ汚れとなります。タバコに含まれるタールが、歯の表面にあるペリクルと結びついて着色汚れを引き起こします。
長年の喫煙習慣があると歯の白さが失われ、全体的に黄色や茶色に変色してしまいます。さらに歯の美しさだけでなく、口臭や歯周病リスクも注意点です。
セルフで歯を白くする方法の注意点
ホワイトニング用歯磨き粉やペン、シートといったセルフで歯を白くする方法は、あくまで歯の表面の汚れを落とす効果にとどまります。そのため、歯の内側の象牙質の黄ばみまで白くすることはできず、本来の歯の色以上にトーンアップさせることはできないのです。
歯の白さを3トーン以上改善したい場合は、歯科クリニックでおこなう医療ホワイトニングや専門のクリーニングが必要になります。セルフホワイトニングは、手軽で費用も抑えられる反面、十分な効果が得られず後悔する場合も多々あります。どの程度の歯の白さを求めるのかによって、ホワイトニングの方法を検討する必要があるでしょう。
医療機関でしかできない!本当に歯を白くする方法
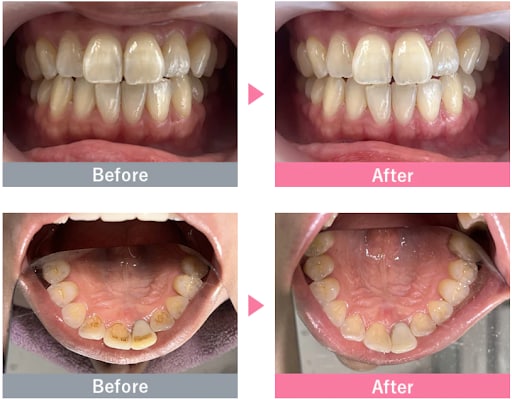
より確実に歯を白くしたい場合には、医療機関でおこなうホワイトニングやクリーニングがおすすめです。歯の表面をきれいにするだけでなく、内部から歯を白くすることが可能で、市販の商品やセルフケアでは得られない高い効果が期待できます。
ここでは湘南美容歯科で受けられる、歯を白くする人気の施術をご紹介します。
医療ホワイトニング
医療ホワイトニングは、歯科クリニックで受けられる高濃度の薬剤を使用したホワイトニングです。主にスタンダードホワイトニング(オフィスホワイトニング)・ホームホワイトニング・プレミアムホワイトニングの3つがあり、医師の指導や施術のもと短期間で白い歯を目指せます。
過酸化水素や過酸化尿素などの成分を含むホワイトニングジェルが、歯の内側に働きかけて色素を分解することで、歯の黄ばみを漂白できます。表面の汚れを落とす「クリーニング」以上の白さを実感できるのが特徴です。
施術の説明:加齢や遺伝、食生活などによって変色した歯を専用の薬剤で脱色して白くする方法です。歯を削る必要もなく、数回で治療が完了することが多いです。
施術の副作用(リスク):一時的な疼痛・冷水痛・歯の色ムラが生じる可能性があります。
施術の価格:19,800円~49,800円
SBCパウダージェットクリーニング
SBCパウダージェットクリーニングは、ジェット水流を利用したクリーニングの1つです。審美歯科の施術で使われるエアフローパウダーを、ジェット水流に混ぜて歯の着色汚れを除去します。
クリーニング力が強く、コーヒーやタバコによるしつこいステインなどを効果的に除去可能です。歯本来の明るさを取り戻したい方に適しています。

施術の説明:専用の器具を使い、歯ブラシなどでは落としきれない歯の汚れや歯石を除去します。
施術の副作用(リスク):疼痛・咬合時痛・冷水痛が生じる事があります。また歯茎の腫脹や出血などを生じる事があります。
施術の価格:5,000円
湘南美容歯科のSBCパウダージェットクリーニングについて詳しくはこちら>
セラミック治療
ホワイトニングやクリーニングとは全く異なるアプローチとして、現在の歯をセラミック製の歯に差し替えて歯を美しくするセラミック治療という方法もあります。
セラミック治療は、改善したい歯を削り、その上にセラミック製の被せ物を装着して歯並びや歯の色を整える治療です。ホワイトニングでは改善が難しい強い変色や、歯並びの乱れを同時に解消できます。
セラミック治療は、歯の色・形・大きさ・角度なども細かくデザインでき、審美性に優れています。また、一般的な矯正治療は1年以上と時間がかかりますが、1〜3ヵ月程度で完了する点も特徴です。

歯を白くする方法に関するよくある質問
市販の商品で歯を白くできる?
市販のホワイトニング商品には漂白成分は含まれていません。そのため、歯の表面汚れは落とせますが、歯を白くする効果は限定的です。
セルフホワイトニングと医療ホワイトニングの違いは?
使用する薬剤、歯科医師の有無などが大きな違いです。
セルフホワイトニングは、サロンに出向いてご自身で施術をおこないます。医療ホワイトニングは、医療機関が使用できる高濃度な薬剤を使用して医師が施術をおこなうため、方法や安全性、効果が根本的に異なります。
医療ホワイトニングのデメリットは?
審美目的の医療ホワイトニングは自費診療のため、セルフケアに比べて費用が高くなる点がデメリットです。ただし、その分1回の施術で高い効果が得られ、長期的に歯の白さを維持できる点を考えると、コスパがよいともいえます。
本当に歯を白くしたいなら湘南美容歯科へ
セルフによるホワイトニングは手軽で安価ですが、効果は限定的です。歯の表面的な着色汚れを落とすことはできても、内側の黄ばみまで白くすることは難しく、本来の歯の色以上にトーンアップすることはできません。
本当に歯を白くするなら、歯科クリニックでのホワイトニングやクリーニングがおすすめです。湘南美容歯科では、歯科医師の管理のもと、高濃度の薬剤を使用して歯の内部から黄ばみを漂白するホワイトニングや、専門的なクリーニング、審美性に優れたセラミック治療をご提供しています。
確実に白さを実感したい方、3トーン以上の改善を目指したい方は、無料カウンセリングでお気軽にご相談ください。
※本記事の内容は公開時点の情報であり、実際のメニュー名や金額とは異なる場合がございます。最新の情報については当院までお問い合わせください。


アイキャッチ2.jpg)
アイキャッチ1.png)