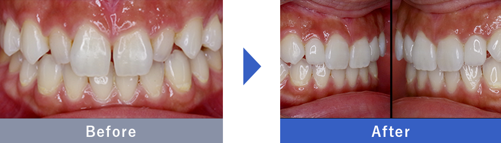
ラミネートべニアの症例写真
NEOエナメルの症例写真



ダイヤモンドベニアの症例写真



ラミネートべニアについて
ラミネートべニアは、セラミック治療のひとつで、歯の表面をごく薄く整えたうえで、セラミック製のシェルを貼り付ける審美歯科治療です。歯の色や形、すき間などを改善でき、歯を削る量を最小限に抑えられる点が特長です。主に前歯を対象とし、見た目の印象を自然に整えたいケースに適しています。
セラミック素材ならではの透明感と質感により、周囲の歯となじみやすく、違和感の少ない仕上がりが期待できます。セラミッククラウンと比べて歯への負担を抑えやすく、短期間で口元の印象を改善しやすいことから、審美性を重視する方に選ばれている治療法です。
