セラミック矯正の症例写真/ビフォーアフター

施術名:ダイヤモンドオーダーセラミック
執刀医:前田 純(歯科)医師
施術名:ダイヤモンドオーダーセラミック
執刀医:豊田 ゆきほ(歯科)医師
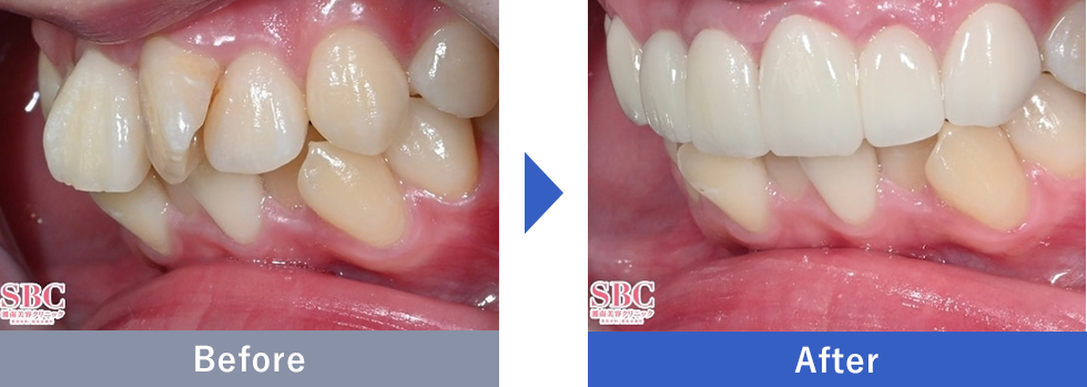
施術名:プレミアムダイヤモンドセラミック
担当医:湘南美容歯科 医師セラミック矯正について
セラミック矯正は、歯を削り、セラミック製の被せ物を装着することで、歯並びや形状、色調を短期間で改善する治療法です。
主な種類には、ジルコニアを用いた「ダイヤモンドクラウン」や、強度と美しさを兼ね備えた「プレミアムダイヤモンドセラミック」、歯科技工士が立ち会い、完全オーダーメイドで制作する「ダイヤモンドオーダーセラミック」などがあります。
メリットとして、天然歯のような透明感と美しい仕上がりが得られ、歯の色や形を自由に調整できる点が挙げられます。また、金属を使用しないため、金属アレルギーの心配がなく、歯茎との調和も良好です。さらに、治療期間が短く、数ヶ月で完了するため、結婚式などのイベントを控えている方にも適しています。一方、注意点として、歯を削る必要があり、一度削った歯は元に戻せません。
また、歯の状態によっては神経の治療や抜歯が必要となる場合があります。適切なメンテナンスを怠ると、虫歯や歯周病のリスクが高まるため、治療後も定期的な歯科検診や適切な口腔ケアが重要です。セラミック矯正を検討する際は、メリットとデメリットを十分に理解し、歯科医師と相談の上、慎重に判断することが大切です。


