SPECIAL特集記事
池袋ですきっ歯の治療をするなら湘南美容歯科池袋院!
2026年4月15日

すきっ歯でお悩みの方は「笑顔に自信が持てない」と感じる方も多いのではないでしょうか。
湘南美容歯科では、短期間ですきっ歯を整えることができる「セラミック治療」と、透明なマウスピースで自然な歯並びに整える「マウスピース矯正」の2種類をご用意しております。
それぞれ特徴や費用が異なるため、この記事では治療法の詳細を症例写真とあわせてご紹介します。
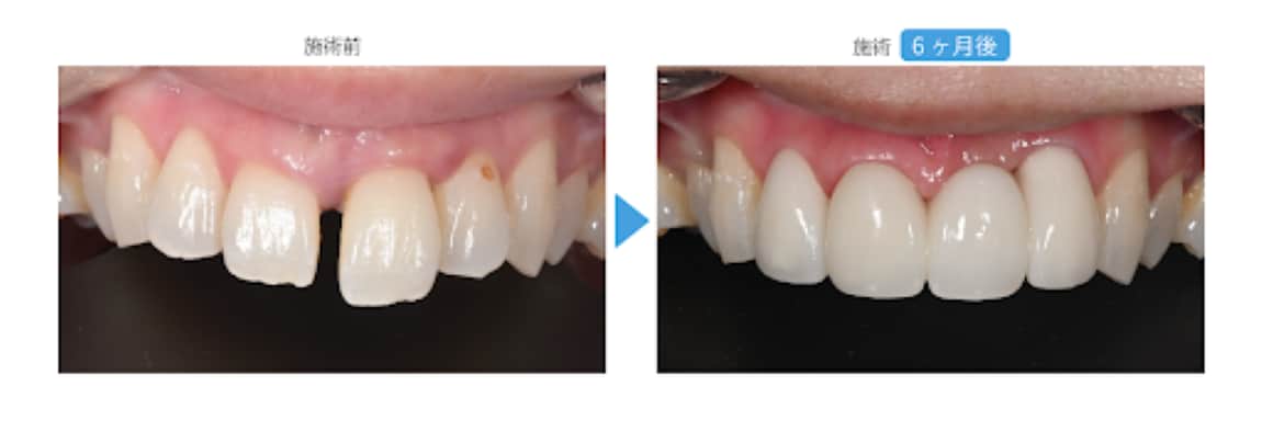
すきっ歯のセラミック治療の症例写真
セラミック治療は、歯のすき間や形、色を調整し口元の印象を整える審美治療法です。天然歯に近い色や透明感を再現することもできるため、美しさを重視する方に選ばれています。
短期間で見た目を改善できるので、前歯のすきっ歯にも適しています。歯を削るイメージがありますが、湘南美容歯科では大きく削らずに治療できる方法もあり、患者様のご希望に合わせて検討ができます。
ダイヤモンドクラウン(ジルコニア)
ダイヤモンドクラウンは、被せ物にグラデーションの色を付けることができるため、天然の歯のような自然な色合いを再現できます。色は8種類からお選びいただけます。
また、人工ダイヤモンド素材を使用しているため高い強度を備えており、前歯から奥歯まで幅広く対応できます。治療期間の目安はおおよそ1~3ヵ月程度です。※口腔内状況、歯並びによっては期間がかかる可能性がございます。
プレミアムダイヤモンドセラミック
プレミアムダイヤモンドセラミックは、光の透過性が高く透明感のある素材で、天然歯のような自然な色合いを再現できるのが特徴です。
耐久性の高いジルコニア素材を使用しており、人工関節にも応用されるほどの強度があります。最短1日で仮歯まで進めることができます。
ダイヤモンドオーダーセラミック
ダイヤモンドオーダーセラミックは、セラミックの美しさにこだわる方に適している治療法です。色や形、角度などをオーダーメイドで製作でき、歯科医師と歯科技工士が連携することで、細部までこだわった仕上がりが可能です。最短で1日で仮歯を作ることもできます。
すきっ歯のマウスピース矯正の症例写真
マウスピース矯正は、少しずつ歯を動かし、歯並びやすきっ歯を整える矯正治療です。治療計画に沿って段階的にマウスピースを交換することで、無理のないペースで歯を移動させます。通院回数が少なく、日常生活への影響も小さいため、忙しい方や、見た目を気にする方でも取り組みやすい治療法です。
インビザラインGO
インビザラインGoは、前歯を対象とするマウスピース矯正です。
口を開けたときに目立つ「前歯のすきっ歯」が気になる方に、口元の印象を整えやすい治療法です。平均治療期間は約4ヵ月~6ヵ月程度です。
インビザラインモデレート
インビザラインモデレートは、中度症例のすきっ歯を整えることができる治療法です。段階的に歯を移動させるため、少しずつ歯並びが改善していきます。とくに、横顔の印象を整えたい方に適しており、平均治療期間は約8~10ヵ月程度です。
インビザラインフル
インビザラインフルは、重度症例の方に適している治療法です。Eラインやフェイスラインまで整えることが可能で、歯並びの状態によっては、抜歯を伴う場合もあります。平均治療期間は約1.5~2.5年ほどが目安です。
セラミック治療とマウスピース矯正の違い
セラミック治療
マウスピース矯正
すきっ歯による影響は?治療すべき?
すきっ歯は、見た目だけでなく、発音や口内環境にも影響を及ぼします。歯の間にすき間があることで、笑顔に自信を持ちづらくなったり、「さ行」の発音が不明瞭になったりすることもあります。また、食べ物が歯の間に詰まりやすく、虫歯や歯周病のリスクも高まります。
すきっ歯の悩みは、セラミック治療やマウスピース矯正で改善することが期待できます。
セラミック治療では、色や形を好みに合わせて調整でき、歯のすき間も自然に埋まります。また、他の治療法と比べると治療期間も短期間ですむため、なかなか通院が難しい方でも受けやすい治療法です。
マウスピース矯正は、透明な装置で歯を少しずつ動かし、歯並びを根本から整える治療です。「さ行」の発音がしやすくなるなど口腔機能も改善します。歯のすき間が減ることで、食べ物が詰まりにくくなり、虫歯や歯周病のリスクも抑えられます。
まずは、症状や希望に合わせて治療法を検討し、カウンセリングで口元の状態を確認することが大切です。
池袋ですきっ歯の治療をするなら湘南美容歯科池袋院!
すきっ歯は、口元の印象や発音、日々の食生活にも影響を与えることがあります。
治療せずに放置してしまうことで、自信の低下だけでなく口腔環境の悪化にもつながる可能性があります。
湘南美容歯科池袋院では、短期間で印象を整えるセラミック治療と、歯並びを根本から整えるマウスピース矯正で、すきっ歯の治療が可能です。
土日祝日も対応しており、池袋駅40番出口から、歩いて15秒とアクセスも良好。すきっ歯の治療法でお悩みの方は、まずは無料カウンセリングでご相談ください。



