SPECIAL特集記事
大宮のセラミック治療|審美歯科で選ばれる湘南美容歯科大宮院
大宮駅西口から徒歩1分!
審美性と耐久性を兼ね備えた満足度の高いセラミック治療なら湘南美容歯科大宮院へ!
2026年3月19日

埼玉の中心地、大宮にある湘南美容歯科大宮院は、歯の色や形、歯並びの乱れといった口元のコンプレックスを解消するセラミック治療をご提供しています。
従来のセラミック矯正(クラウン)やインレー(詰め物)はもちろん、歯を極力削らずに美しさを追求できる「ラミネートベニア」といった今注目の施術もご用意。SBCでセラミック治療件数3,500件以上の実績を持つ前田医師が在籍。美しさだけでなく機能面にもこだわり、お顔全体のバランスを考えた治療プランをご提案いたします。
キャンペーン実施中!
セラミック治療とは?
セラミック治療は、「長年の銀歯を何とかしたい」「歯並びの乱れや歯の変色が気になる」といった、口元のお悩みを解消する治療です。虫歯の治療後や古い修復物を、天然歯に近いセラミック素材に入れ替えることで、歯並びの矯正、歯の色や形、質感の改善ができます。
湘南美容歯科大宮院では、セラミック矯正から部分修正のインレー、さらに今注目のラミネートベニアまで、幅広いメニューを取り揃えています。審美性と機能性を兼ね備えたセラミック治療で、お客さまの理想の口元を実現します。
セラミック矯正(クラウン)
セラミック矯正は、歯列の乱れや歯の色でお悩みの方におすすめの治療です。気になる歯を適切に整えたあと、上からセラミックの被せ物を装着することで、歯並び・色・形・質感などを一度にデザインできます。歯を動かす従来の矯正とは異なり1〜3ヵ月程度で見た目の改善が可能なので、結婚式や大切なイベントを控えている方にも最適です。
インレー
インレーは、虫歯治療の痕を目立たせたくない方や、奥歯の銀歯が気になる方におすすめです。セラミック製の詰め物を装着することで、天然歯と見分けがつかないほどの自然な仕上がりになります。また、セラミックはプラーク(歯垢)の付着を防ぎ、虫歯の再発リスクを抑えられる点も特徴のひとつです。
ラミネートべニア
ラミネートベニアは、「歯を削るのは抵抗があるけど、歯の色や形を変えたい」という方におすすめの治療法です。歯の表面をわずかに研磨し薄いセラミック素材を貼り付けることで、歯へのダメージを最小限に抑えながら、ホワイトニングでは難しい色調の改善や、歯の小さな隙間、形の修正が可能です。
湘南美容歯科大宮院では、最短2回で治療が完了する「ダイヤモンドベニア」と、独自開発の新素材を使用した「NEOエナメル」を取り扱っています。
虫歯治療
当院のセラミック治療では、虫歯治療の段階から治療後の美しさを追求します。保険適用の金属ではなく、審美性の高いセラミック素材を選択することで、治療痕が目立たない口元を実現。金属アレルギーの心配がないだけでなく、セラミックの滑らかな表面は汚れが付きにくいため、治療後も清潔な状態を維持しやすくなります。健康的な治療と、美しい仕上がりを同時に叶える選択です。
大宮院のセラミック治療が選ばれる理由
REASON 01
湘南美容歯科大宮院には、セラミック治療症例数3,500件以上※の実績を持つ統括院長・前田医師をはじめ、
女性のお客様から人気の優しく親しみやすいママドクター・豊田ゆきほ医師も在籍しています。
豊富な実績をもとに、満足度の高い仕上がりへと導きます。
※2016年5月~2025年1月
REASON 02
仕上がりと機能性を両立した高品質なセラミック治療
当院では、見た目の美しさはもちろん、治療後の噛み合わせや耐久性といった機能性にも徹底的にこだわり、高品質なセラミック治療を実現します。「不自然な歯になるのは嫌だ」「他院での被せ物をやり替えたい」など、お気軽にご要望をお聞かせください。お客さま一人ひとりに、長くご満足いただける口元をご提供します。
REASON 03
今注目のラミネートベニアにも対応
湘南美容歯科大宮院では、韓国で話題の新治療ラミネートベニアにも対応しています。「ダイヤモンドベニア」に加え、審美性と耐久性を両立させた独自開発素材「NEOエナメル」を取り扱っています。
歯の表面をわずかに整える程度で装着できるため、健康な歯をほとんど削らず、歯への負担を抑えながら
短期間で歯の色や形・隙間のお悩みを整えられると、当院でも人気の治療です。
REASON 04
大宮駅西口の目の前にある好立地
JR・東武野田線・埼玉新都市交通(ニューシャトル)大宮駅西口から徒歩1分、出口の目の前に位置する好立地!駅を出てすぐのため、雨の日でも通いやすく、気軽に立ち寄っていただけるクリニックです。
大宮院のセラミック治療症例紹介
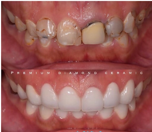
CASE 01
セラミック矯正(クラウン)

ダイヤモンドオーダーセラミック、上の前歯4本の症例です。変色した歯を、周囲の歯と馴染むような自然な色調に仕上げました。
CASE 02
ラミネートべニア

NEOエナメルは、硬度の高さや透過性に優れているラミネートベニアです。左右で大きさの違う歯が、まるで本物の歯のような自然な美しさに仕上がっています!
CASE 03
虫歯治療

古い被せ物や詰め物の下に虫歯ができています。これによる歯の変色、歯の形態も改善され、自然な白さで美しい前歯に!
セラミック治療のメリットとデメリット
MERIT & DEMERIT 01
セラミック治療には、天然歯に近い透明感と色合いを再現でき、時間が経っても黄ばみにくいという特性があります。また、ワイヤー矯正のように歯を動かす治療ではないため、1〜3ヵ月という短期間で美しい口元が手に入る点も大きなメリットです。金属を使用しないため、アレルギーの心配や歯茎が黒ずむリスクもありません。
一方、セラミック治療におけるデメリットは、歯を削る処置が必要な点です。被せ物や詰め物を取り付けるためのスペースを確保する必要があり、一度削った歯はもとには戻りません。また、強い衝撃や激しい歯ぎしり・食いしばりによって破損する可能性がゼロではありません。治療費用に関しては、基本的に保険適用外の全額自己負担となるため、高額になりやすいことも認識しておく必要があります。
セラミック治療の流れ
STEP 01
診察・カウンセリング
まずは、お客さまの口元に関するお悩みや、セラミック治療でどのように改善したいかといったご希望を詳しくお伺いします。そして、口腔内の状態を丁寧に診察・検査し、最適な治療計画をご提案します。
STEP 02
歯を削る・型取り
治療計画をもとに、まずは歯を削りスペースを確保します。その後、精密な型取りをおこない、お客さまの歯にぴったり合うセラミックを作製するためのデータを作成します。
STEP 03
仮歯の装着
最終的なセラミックが完成するまでは、咀嚼機能と見た目を維持する仮歯を装着します。治療期間中も日常生活に支障をきたさず、安心して過ごしていただけます。
STEP 04
セラミックの装着
完成したセラミックを歯に装着し、見た目や噛み合わせ、フィット感などを確認します。問題なければ、しっかりと接着して治療完了です。セラミックの美しさを長く保つため、治療後も定期的なメンテナンスをおすすめしています。
セラミック治療に関するQ&A
QUESTION 01
セラミック治療は保険診療の対象ですか?
セラミック治療は、基本的に保険適用外の自費診療となります。費用は全額自己負担となりますが、保険診療のような制限がなく、複数の歯を同時に治療できるため、通院回数や治療期間を短縮できるメリットがあります。
QUESTION 02
セラミックはどのような流れで治療しますか?
当院のセラミック治療は、主に以下の4つのステップで進行します。
①カウンセリング・診察:お悩みやご希望を伺い、口腔内の状態を検査します。
②歯の形成・型取り:セラミックが合うように歯を削り、精密な型取りをおこないます。
③仮歯の装着:セラミック完成まで、咀嚼機能と見た目を維持する仮歯を装着します。
④セラミックの装着:完成したセラミックを装着・調整し、固定します。
通常、1〜3ヵ月で治療が完了することが多いです。
QUESTION 03
セラミックの治療中に痛みは感じますか?
セラミックの治療中は麻酔を使用するため、基本的に痛みは感じません。麻酔が切れたあとに多少の痛みや違和感が生じることがありますが、通常は数日から1週間程度で軽減することが多いです。
QUESTION 04
セラミック治療後のメンテナンスはどうすればよいですか?
セラミック自体は人工物のため素材そのものが虫歯になることはありません。ただし、治療箇所と歯茎の境目などが虫歯になるリスクがあります。毎日の丁寧な歯磨きに加え、歯科医院での定期的な検診やクリーニングを受けることが、長持ちさせるために不可欠です。
大宮で高品質なセラミック治療をお考えなら、湘南美容歯科大宮院!
湘南美容歯科大宮院は、SBCでセラミック治療件数No1前田医師が在籍しております。
全国9院を統括する歯科統括院長として、湘南歯科グループのセラミック治療を監修。手術指導にも積極的に取り組み、歯科医師からも高い信頼を得ています。
技術力はもちろん、お顔全体のバランスを考えた一人ひとりに合ったデザインを提案し、最適な治療プランをご提供します。
また、ご家族やご友人など大切な方からのご紹介で来院される方も多く、患者様のお気持ちに寄り添った対応と信頼感にも定評があります。
歯科治療に不安のある方も、ぜひ前田医師の無料カウンセリングへお気軽にお越しください。

選ばれる理由-100.jpg)


