SPECIAL特集記事
福岡で八重歯の治療をするなら湘南美容クリニック福岡院歯科!
2026年4月15日

八重歯は第一印象に影響を与えやすく、改善したいと考えるきっかけになりやすい歯並びの一つです。
治療の選択肢には、見た目の美しさを整えるセラミック治療と、歯並びや噛み合わせを整えるマウスピース矯正があります。それぞれの特性を理解したうえで治療法を選ぶことが大切です。
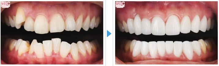
八重歯のセラミック治療の症例写真
セラミック治療とは、歯を削ってセラミック素材の被せ物を用い、歯並びや形を整える方法です。歯のサイズやラインを調整できるため、理想的な見た目を実現しやすい治療といえます。
治療期間は1〜3ヵ月程度で完了し、数年かかるワイヤー矯正やマウスピース矯正と比べて、治療期間が大幅に短い点が特徴です。
ダイヤモンドクラウン(ジルコニア)
30代女性、セラミック治療による八重歯解消の症例です。上の歯10本を5ヶ月で整え、叢生(ガタつき)と機能性を同時に改善。八重歯特有の突出感が消え、洗練されたアーチが完成しました。見た目も噛み心地も理想的に整い、自信あふれる笑顔へと生まれ変わりました。
プレミアムダイヤモンドセラミック
20代女性、上下16本のセラミック症例です。高い位置の八重歯やガタつきを、わずか1ヶ月で劇的に改善。噛み合わせも整い、清潔感あふれる理想の口元へと生まれ変わりました。短期間で歯並び・色・形を同時に叶えたい方に最適です。
ダイヤモンドオーダーセラミック
20代女性の症例です。過去の虫歯治療による変色と歯のねじれを、上顎4本のピンポイント治療でわずか2ヶ月で解消しました。気になる箇所を集中して整えることで、短期間で清潔感あふれる理想の口元へ。変色のお悩みもスッキリ解決し、自信を持って笑える美しい歯並びへと生まれ変わりました。
八重歯のマウスピース矯正の症例写真
マウスピース矯正は、透明なアライナーを装着して歯並びを整えていく矯正治療です。アライナーはオーダーメイドで作られ、半年〜2年ほどかけて徐々に歯を動かしていきます。
ワイヤー矯正よりも費用を抑えやすく、目立ちにくく痛みが少ないことから、矯正治療が初めての人にも選ばれています。
インビザラインモデレート
20代男性、インビザラインモデレートの症例です。
下から覗くと歯列のアーチから大きく外れていた八重歯を、12ヶ月の矯正期間で精密に改善しました。奥歯から歯並び全体を整えることで、無理なく美しいアーチ状の歯列が完成。
八重歯特有の突出感が消え、清潔感あふれるお口元へと生まれ変わりました。男性の方でも、目立たないマウスピース矯正なら私生活に影響なく、理想のスマイルラインを手に入れることができます。
セラミック治療とマウスピース矯正の違い
セラミック治療
マウスピース矯正
八重歯による影響は?治療すべき?
八重歯は、歯が本来の歯列から外れた位置に生え、歯並びから飛び出している状態を指します。特に犬歯に起こりやすく、日本では個性として受け止められることもありますが、歯科的には歯列不正の一つです。
八重歯の原因には、顎の大きさに対して歯が大きいことや、生えるためのスペースが不足していることが挙げられます。さらに、乳歯の生え変わりの時期、遺伝的な骨格、成長期の噛み癖なども影響します。
これらの影響が気になる場合には、治療によって改善を図ることが可能です。主な治療法として、セラミック治療とマウスピース矯正が挙げられます。
セラミック治療は、歯の形や位置を補綴物で整え、口元の印象を短期間で改善したい人に選ばれる方法です。
マウスピース矯正は、歯を徐々に動かし、歯列全体や噛み合わせを根本から整える治療法です。
福岡で八重歯の治療をするなら湘南美容クリニック福岡院歯科!
八重歯を放置すると、虫歯や歯周病のリスクが高まるため、治療を受けることがおすすめです。
湘南美容クリニック福岡院歯科では、短期間で治療できるセラミック治療と、噛み合わせを整えるマウスピース矯正をご用意しています。
福岡院をはじめとする各院で豊富な症例があり、悩みに応じた治療提案が可能です。
治療方法から期間、費用までを丁寧なカウンセリングでご案内しますので、八重歯のお悩みはぜひ当院までお気軽にご相談ください。
