SPECIAL

福岡のセラミック治療|審美歯科で選ばれる湘南美容クリニック福岡院歯科

西鉄福岡(天神)駅から徒歩2分!
審美性と機能性の両面から口元を改善できる
最新のセラミック治療なら湘南美容クリニック福岡院歯科へ!

2026年3月16日

福岡で歯の色や形、歯並びにお悩みの方へ。湘南美容クリニック福岡院歯科では、短期間で理想の口元を実現するセラミック治療をご提供しています。
セラミック矯正やインレー(詰め物)に加え、今注目の「ラミネートベニア」にも対応。当院のセラミック治療なら「ダイヤモンドベニア」や独自開発の「NEOエナメル」など、韓国でも話題の最新治療が福岡で受けられます!あなたに合うプランを一緒に見つけましょう♪

キャンペーン実施中!

セラミック治療とは?

セラミック治療とは、虫歯治療後の欠損を補ったり、金属の詰め物・被せ物をセラミック素材へ置き換えたりして、見た目と機能の両面を改善する治療のことです。セラミックの特性として光の透過性があり、色調再現に優れ、変色しにくい特長があります。前歯の審美性改善だけでなく、奥歯の咬合バランスの回復にも活用されます。

湘南美容クリニック福岡院歯科では、セラミック矯正(被せ物)、インレー(詰め物)、ラミネートベニアなど複数の方法があり、症例に応じて最適な治療をご提案します。

セラミック矯正(クラウン)

歯列の乱れが気になる歯を適切に削り、それを土台としてセラミック製の被せ物(クラウン)をして歯列を整えたり、歯の色を改善します。

ワイヤーやマウスピースで歯を移動させる矯正とは異なり、1〜3ヵ月ほどの短期間で見た目を大きく改善できるのが特長です。歯の大きさ・角度・透明感・形など、細かいデザインができるのも、セラミック矯正ならではのメリットといえます。

インレー

インレーは、虫歯を除去した部位や以前の詰め物を置き換える際に、セラミック製の詰め物で見た目や色を整える治療です。金属やレジン(樹脂)と比べ、色調の自然さや表面性状のなめらかさ、口を開けたときの目立ちにくさが大きなメリット。歯や歯肉と馴染みやすいため、隙間が生じにくくプラーク付着を抑えられ、二次虫歯のリスク低減にも役立ちます。

ラミネートベニア

ラミネートベニアは、薄いセラミックを歯の表面に貼り付けることで色味や見た目を改善する治療です。セラミック矯正と比較すると歯を削る量は最小限。歯への負担を少なく抑えながら、ホワイトニングでは難しい色調のムラや歯のすき間や歯のサイズを調整できます。
湘南美容クリニック福岡院歯科では「ダイヤモンドベニア」や、新素材を用いた「NEOエナメル」を取り扱っています。周囲の歯との違和感が生じにくい自然な仕上がりが可能です。

虫歯治療

虫歯治療や歯根の治療をおこなったうえで、セラミックの被せ物や詰め物をして見た目と機能を回復する虫歯治療です。治療と同時に色・形・歯並びも整えられるため、口元の印象を大きく改善できます。
セラミックによる虫歯治療は、自由診療でおこなえるため同時に複数の歯の治療が可能です。通院回数も少なく、最短3回で治療が完了します。重度の虫歯で保険診療では時間がかかりそうな方、忙しくてまとまった時間が取れない方にもおすすめです。

福岡院のセラミック治療が選ばれる理由

REASON 01

インプラント×セラミック治療にも対応

一般歯科での豊富な経験を持つ岡院長が、審美性と機能性の両面から最適な治療をご提案。エビデンスに基づいた根本改善を目指せます。
歯周病によって抜け落ちた歯や虫歯で失われている場合でも、インプラント治療で人工歯根を埋め込み、咀嚼機能の回復が可能です。さらに、セラミック治療との併用で、審美的にも口元が整えられます。

REASON 02

今注目のラミネートベニアも取り扱いあり

「歯はなるべく削りたくない」「軽い歯並びの乱れや色ムラを改善したい」そんな方に相性がいいのがラミネートベニア。湘南美容クリニック福岡院歯科では、今注目されているラミネートベニア「ダイヤモンドベニア」と「NEOエナメル」にも対応可能です。特に「NEOエナメル」は、審美性と耐久性を備えた独自開発のジルコニア素材を使用。歯の表面をわずかに研磨するだけで装着でき、歯への負担が少なく整った歯並びに改善できます。

REASON 03

美容クリニックも併設で利便性よし

湘南美容外科・皮膚科・歯科が併設されているのが特徴の福岡院。治療内容によっては、美容施術と歯科を同日に受けることもできます。歯の定期的なメンテナンスとして、美容目的も合わせて通いやすい利便性があります。

REASON 04

西鉄福岡(天神)駅から徒歩2分の駅近クリニック

西鉄天神大牟田線「西鉄福岡(天神)駅」南口から徒歩2分、福岡市営地下鉄七隈線「天神南駅」から徒歩3分。JR博多駅へも電車で一本とアクセスが良好で、遠方からでも来院しやすいクリニックです。お仕事帰りやショッピングの合間にも通いやすく、かかりつけの美容歯科として多くの患者さまに選ばれています。

福岡院のセラミック治療症例紹介

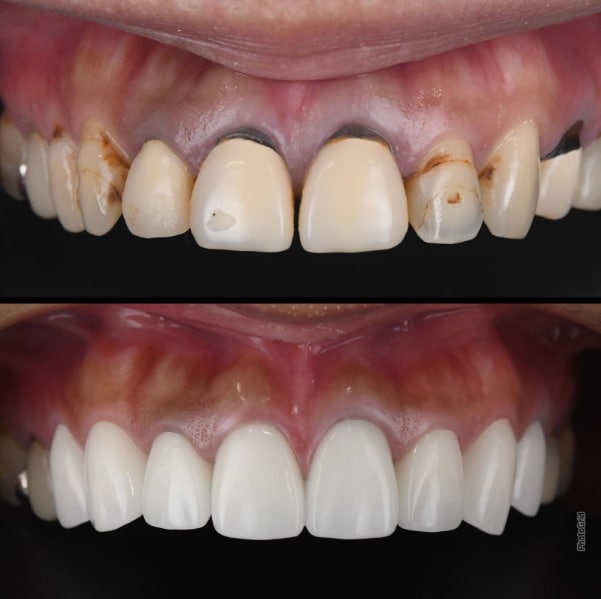
CASE 01

セラミック矯正(クラウン)

セラミック矯正+インプラント治療を併用した症例です!清潔感のある口元になりました!

CASE 02

インレー

目立つ銀歯の詰め物を、セラミックインレーに交換!虫歯も治して自然な白い歯に◎

CASE 03

ラミネートベニア

真っ白ではなく、天然歯のような自然な透明感も再現できます!

CASE 04

虫歯治療

重度の虫歯も治療可能です!セラミックで審美面・機能面も回復します!

セラミック治療のメリットとデメリット

MERIT & DEMERIT 01

セラミックの魅力は、自然な白さ・透明感、表面がなめらかで汚れがつきにくい点が挙げられます。また、ワイヤーやマウスピースで歯を動かす矯正に比べて、仕上がりまでの期間が短くなることもポイントです。治療内容によって異なりますが、セラミック矯正の場合は、1〜3ヵ月で治療が完了する場合もあります。イベント前など短期間で口元を整えたい方に最適です。

一方で、セラミックの被せ物をする場合は、歯を削る工程が必要です。削った歯は元に戻せないため、健康な歯を削ることに抵抗感を覚える方もいるでしょう。また、セラミック治療後は定期的なメンテナンスが必要になります。セラミックが破損または劣化すると、再度治療が必要になることもあるため、長持ちさせるためにもメンテナンスが欠かせません。

セラミック治療の流れ

STEP 01

診察・カウンセリング

まずは無料カウンセリングで、気になるところや希望の仕上がりをヒアリング。口内の写真やレントゲンを参考に、歯並び・噛み合わせ・歯の質をチェックします。色味や透明感の希望も確認し、通院回数やお見積もりまでわかりやすくご案内します。不明点や疑問もお気軽にお聞かせください。

STEP 02

歯を削る・型取り

治療内容に合わせて、必要な範囲で歯を削り形を整えます。型取りはシリコン系材料や口腔内スキャナーを使い、ぴったり合うように精密に記録します。色合わせはシェードガイドや写真で確認し、周りの歯と自然になじむよう調整します。

STEP 03

仮歯の装着

本番のセラミックができるまで、見た目と咀嚼機能を補う仮歯を装着します。長さや形、発音の感じをチェック。カウンセリングから仮歯装着までは、最短1日で進められる場合もあります。

STEP 04

セラミックの装着

型取りをしてから1週間〜10日程度で、完成したセラミックの装着が可能です。色・形・フィット感・噛み合わせを丁寧に確認します。問題がなければ治療は完了です。治療後も定期的に通院してメンテナンスをおこないましょう。

セラミック治療に関するQ&A

QUESTION 01

セラミック治療は保険診療で受けられますか?

審美目的のセラミック治療は基本的に自由診療となります。費用は自己負担となりますが、保険診療のような制限がなく、複数の歯を短期間で治療ができるといったメリットがあります。

QUESTION 02

セラミック治療は仕上がりまでどれくらいかかりますか?

セラミック矯正の場合は1〜3ヵ月程度で仕上がる場合もあります。ただし、治療内容や歯の状態、歯の本数によって治療期間は異なります。

QUESTION 03

セラミック治療後に注意するべきことはありますか?

被せ物であるため、メンテナンスを怠ると中の歯が虫歯・歯周病になったり、セラミックが欠損したりすることがあります。長期的に使用するためにも、クリニックで定期的なメンテナンスが必要です。

QUESTION 04

セラミック治療とインプラントの違いを教えてください。

セラミック治療は、土台として削ったご自身の既存の歯にセラミックの歯を装着する方法。インプラントは歯がない場所に人工歯根を入れて土台を作り、その上にセラミックの歯を装着します。欠損の有無や周りの歯の状態によって、適した治療は異なります。

福岡で高品質なセラミック治療をお考えなら、湘南美容クリニック福岡院歯科!

短期間で自然で清潔感のある口元にできるセラミック治療、あなたも試してみませんか?1〜3ヵ月程度で歯並びが整い、歯の色も改善できます。結婚式や大事なイベントの前に間に合わせたいという方は、湘南美容クリニック福岡院歯科の岡院長にお任せください!事前にご相談いただければ、最適な治療計画のご提案が可能です。まずは無料カウンセリングで、ご希望をお伺いいたします!