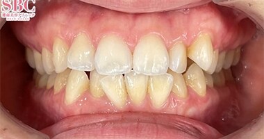
Before
After(13ヶ月後)
※マウスピース矯正との併用症例です
担当医:岡秀樹医師
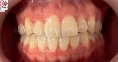
Before
After(2週間後)
プレミアムホワイトニングの症例です
担当医:竹本佳子医師
加齢や遺伝、食生活などによって変色した歯を漂白剤で脱色して白くする方法です。
コーヒーやタバコなどで変色してしまった歯に有効で、
最近ではホワイトニングをするという方も増えてきています。
歯の白さは清潔感、第一印象の向上にもつながり、営業職や接客業などの方にもおすすめです。
医療機関のホワイトニングは、歯の内側から歯を白くする治療のため、
歯の表面の汚れのみを落とす「クリーニング」以上に白さを実感できます。
また矯正治療と組み合わせるとより審美性も高めることができます。
ご自身でおこなっていたセルフホワイトニングで
十分な効果が得られず後悔したという方にもおすすめです。
ホワイトニングジェルの主成分である過酸化水素・過酸化尿素はエナメル質内の黄色い色素を無色透明に分解します。これにより歯の黄ばみが漂白され、輝く白い歯になります。
マスキング効果とよばれるものもあります。
マスキング効果は、歯の表面のエナメル質を一時的に細かい凹凸のあるすりガラス状に変化させ、光を乱反射することで歯の内側の象牙質を見えなくするというものです。このマスキング効果により、一層歯が白く見える様になります。
医療ホワイトニングは、ただ歯を白くするだけでなく、抗菌・殺菌作用も認められています。
医療ホワイトニングに使用する“過酸化尿素”や“過酸化水素”には虫歯菌や歯周病菌の減少による予防効果が
報告されています。
スタンダードホワイトニング(オフィスホワイトニング)
|
通常価格19,800円
平日限定モニター価格 13,800円 |
|
通常価格49,800
円
モニター価格 39,800円 |
ホームホワイトニング
| ホームホワイトニングキット
【上下トレー・ジェル 2本付】 |
25,250円 |
|---|---|
| 追加ジェル1本 | 3,030円 |
ホワイトスポット治療(iCON)
|
30,780円
モニター価格29,800 円 |
\こんなプランもあります/
1日30分シートを貼るだけ
歯科クリニック限定販売
1箱
2,200 円 (税込)
(2週間分)
歯を白くする成分の過酸化水素が6%含まれており継続することで白さを実感!
今までホワイトニング効果のある歯磨き粉やサロンホワイトニングでは満足できなかった方にもおすすめです。
Q
1回で白くなりますか?
A
当院のスタンダードホワイトニング(オフィスホワイトニング)では、一度のご来院でもワントーンほどの効果・変化を実感できます。
ただし、さらに回数を重ねたり、ホームホワイトニングも併用しておこなうことで、より理想的な白さを実現できます。
Q
ホワイトニングに痛みはありますか?
A
一時的な疼痛・冷水痛が生じる可能性もありますが、ほとんど痛みはございません。
痛みが不安という患者さまはカウンセリングの際にお気軽におっしゃってください。
Q
治療後に食事制限はありますか?
A
ホワイトニング後24時間はコーヒーや紅茶、チョコレート、カレーなど、色の濃い物については一部制限がございます。
治療後の着色を防ぐことで、治療の効果を最大限に得られます。
Q
ホワイトニングと同時に矯正治療は可能ですか?
A
矯正方法によっては可能です。
当院の治療であればセラミック治療やマウスピース矯正と一部併用できます。
お近くの湘南美容歯科はこちら
