SPECIAL特集記事
2026年|湘南歯科クリニック池袋院で受けられるおすすめ施術3選
2026年、あなたの笑顔をもっと魅力的に、美しくするために
2026年1月1日

見た目を整え、削らない審美歯科治療をお探しの方へ
「歯の見た目をきれいにしたいけど、削るのは不安」
「できるだけ自然に、今より印象を良くしたい」
そんな方に選ばれているのが、湘南歯科クリニック池袋院の審美歯科治療です。
2026年にふさわしい、当院で特に人気・満足度の高い施術を3つ厳選してご紹介します。
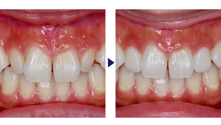
iCON(ホワイトスポット治療)で削らずに白い斑点を改善
ホワイトスポットって何?

「ホワイトスポット」とは、歯の表面に見える白い斑点や白濁のこと。
ホワイトニングでは改善が難しく、見た目の印象を気にされる方が増えています。
前歯に現れる白い斑点「ホワイトスポット」は
・生まれつき
・矯正後
・初期むし歯
などが原因で起こります。
「歯の色がまだらに見える」「口元に自信が持てない」「被せ物は嫌」
というお悩みの方にこそ行なっていただきたいのがiCON治療です。
iCON治療の特徴

iCON(アイコン)治療 は、歯を削らずに特殊な樹脂を浸透させ、
白斑部分の見た目を自然に目立たなくする治療法です。
・麻酔不要
・短時間で完了
・歯へのダメージ最小限
審美性と安全性を両立した、次世代ホワイトスポット治療です。
地味だけど一度気になるとずっと鏡を見てしまう方は、ぜひホワイトスポット治療をおすすめします。
iCONはこんな方におすすめ

以下に当てはまる方は、iCON治療が適しています。
ぜひ、自分に向いているかチェックしてみてください。
・前歯の白斑が気になる
・歯を削る治療に抵抗がある
・自然な仕上がりを重視したい
・矯正後の歯のムラを整えたい
湘南歯科クリニック池袋院では、iCONの適応かどうかを無料カウンセリングで丁寧に診断しています。
ティースジュエリーで笑顔に個性をプラス

「ティースジュエリー」とは、歯の表面に小さな宝石やクリスタルを付けるデンタルアクセサリーです。
海外セレブやK-POPアイドルの間でも人気のスタイルとして、日本でも注目が高まっています。
湘南歯科クリニック池袋院では、歯に負担をかけず安全に装着できるジュエリーを豊富にご用意しています。
短時間で施術可能なので、推しのイベント前に立ち寄って施術する方もいらっしゃいます。
\気になる〜!/
ティースジュエリーが向いている人

・笑顔をもっと印象的にしたい
・イベント・撮影・推し活・成人式前
・周りと被らないオシャレを楽しみたい
・一時的なイメージチェンジをしたい
湘南歯科クリニック池袋院では、位置・デザイン・大きさまで細かく相談可能なので、
ティースジュエリーを初めて付ける方でも安心して施術いただけます。
歯を削らない審美治療、NEOエナメルとは

「NEOエナメル」は、従来のラミネートベニアに比べて割れにくく、より薄く仕上げることが可能です。
ご自身の歯になじみやすい自然な仕上がりでありながら、24色の中からご希望の色味に整えることができる、次世代のセラミック治療です。
削らないセラミックなんて夢みたい!
NEOエナメルが選ばれる理由
審美性と耐久性を両立

・天然歯に近い美しいツヤと透明感
・変色しにくい
・強度が高く長持ちのため、ブリッジにも対応(1歯分)
こんなお悩みに対応

・ホワイトニングは面倒だけど、歯の色をトーンアップしたい
・すきっ歯・軽度の歯並びの矯正
・前歯の形・欠け・左右差
「矯正までは考えていないけど、見た目を整えたい」という方に特に選ばれています。
2026年、審美歯科なら湘南歯科クリニック池袋院へ

湘南歯科クリニック池袋院では、マウスピース矯正・セラミック矯正・ホワイトニング・クリーニングだけでなく
iCON・ティースジュエリー・NEOエナメルすべてに対応しています。
初めての方でも安心して受けられる無料カウンセリングを実施しており、歯の状態やご希望を丁寧に伺い、無理な提案も行ないません。
湘南歯科クリニック池袋院のスタッフが、皆様それぞれに最適なプランをご提案いたします。
ご予約は24時間365日、いつでも受け付けております。
2026年は「自然で魅力的な笑顔」へ、周りの一歩先を目指しませんか?
皆様の「理想の笑顔」を実現するお手伝いを、私たち湘南歯科クリニック池袋院が全力でサポートします。
※MySBCの登録が必要です(無料)


